试题详情
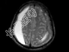
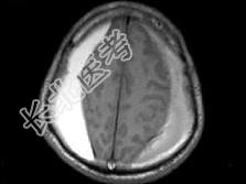
- 单项选择题男,59岁, 半月前与人打架后感头痛头昏,双侧肢体无力, 根据所提供图像,最可能的诊断是 ( )

A、双侧额顶部硬膜下血肿
B、双侧额顶部硬膜外血肿
C、双侧额顶部脑挫裂伤
D、双侧额顶部急性硬膜外血肿
E、双侧额顶部慢性硬膜外血肿
关注下方微信公众号,搜题查看答案

热门试题
- 男,30岁, 寒战,高热伴头痛, 呕吐1
- 下列脑神经出颅途径描述,哪项是错误的A、
- 关于脑灰质异位,叙述错误的是( )A
- 男,30岁,发作性意识丧失半年,CT平扫
- 颅面血管瘤主要临床症状或CT特点A、面部
- 颞叶钩回疝致使鞍上池出现哪种变化A、前移
- Sturge-Weber综合征脑实质钙化
- 脑转移瘤好发于:A、大脑皮层B、小脑皮层
- 1、复查CT平扫未见明显异常,最可能是因
- “脑包虫病”诊断要点,下述哪项错误
- 哪一项不是畸胎瘤的特征性CT表现A、瘤体
- 女,79岁, 步行时突然摔倒,结合图像,
- 鞍区肿瘤、垂体瘤患者应首选的摄影位置是(
- 女,45岁, 右侧听力下降半年,CT示左
- 患者,男,27岁。头痛,高热3天。CT示
- 脊膜瘤的有关病理特点中,下列哪项错误
- 海绵状脑病(CJD)的影像学表现,不正确
- 麦氏(Magenide)孔梗阻引起的脑室
- 髓母细胞瘤与室管膜瘤影像鉴别点为A、前者
- 关于"神经纤维瘤病"最常见、最特征的脑肿