试题详情
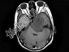
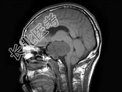
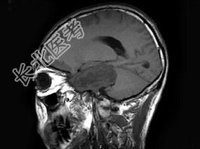
- 单项选择题男,38岁, 左侧面部麻木半年,头颅MRI见颅内占位性病变, 最可能的诊断为 ( )

A、听神经瘤
B、三叉神经瘤
C、脑膜瘤
D、血管瘤
E、未见异常
关注下方微信公众号,搜题查看答案

热门试题
- 细胞毒性脑水肿最常见的原因是A、炎症B、
- 女,10岁, 头痛,抽搐, 右颞部膨隆,
- 患者,面部麻木,咀嚼肌萎缩半年。CT示中
- 脊柱CT的特殊扫描方法是( )。A、
- 关于“皮层下动脉硬化性脑病”,下列哪项C
- 有关Ⅲ级星形细胞瘤的MRI表现,下列哪项
- 关于颅咽管瘤的病理特征,下列描述不正确的
- 脱髓鞘不包括A、多发性硬化B、急性播散性
- CT鉴别小脑星形细胞瘤与血管网状细胞瘤的
- 诊断动静脉畸形(AVM)最可靠的方法是A
- 女,75岁, 突发左侧肢体无力,嘴角歪斜
- 关于室管膜瘤的CT描述,下列哪项是正确的
- 中枢神经系统放疗常用体位是A、仰卧位B、
- 1、患者入院后的常规检查应包括( )
- 女,30岁, 腰痛2个月,MRI检查见L
- 前脑无裂畸形是由于在胚胎第几周前孕育形成
- 如图箭头所示为颅脑哪个部位 (
- 男,2岁, 蹒跚步态易跌倒2个月余,MR
- MRI与CT相比,MRI检查对下列哪项病
- 关于髓母细胞瘤,下列说法正确的是A、起源