试题详情
- [材料题] 患者女性,51岁,因“头晕、恶心进行性加重1个月余,伴呕吐5小时”就诊。患者于1个月前出现头晕症状,伴恶心,无视物旋转、头痛、走路不稳,无言语改变、意识障碍。患者症状反复发作并进行性加重,2周前间断出现走路不稳,似醉酒样步态,倒向左侧;5小时前出现头晕、恶心,并呕吐胃内容物,站立不稳。既往有高血压病史3年,血压控制尚可。查体:轮椅推入病房,可见步态不稳,神志清楚,应答正确,无吟诗样及爆炸样言语,遵嘱活动,双侧瞳孔等大正圆,对光反射灵敏,四肢活动可,肌力、肌张力未及异常,指鼻试验、双侧轮替试验阴性,双侧跟膝胫试验欠稳准,双侧膝反射及跟腱反射正常,双侧病理征未引出,闭目难立征不能配合。实验室检查:外周血白细胞计数15.29×109/L,中性粒细胞百分比92.1%,二氧化碳18.8mmol/L,血糖7.05mmol/L;心肌酶、凝血试验正常。
- 多项选择题1.患者入院后的常规检查应包括( )
A、颅脑MRI
B、心电图
C、腹部CT
D、颅脑CT
E、头颅X线片
F、胸部X线片
关注下方微信公众号,搜题查看答案

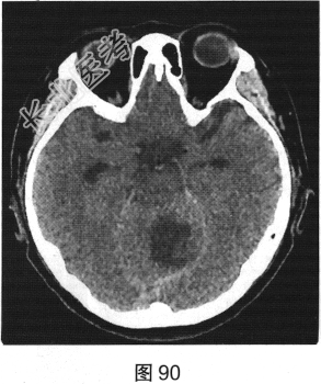
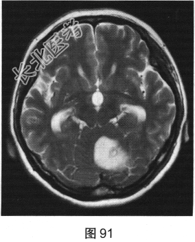
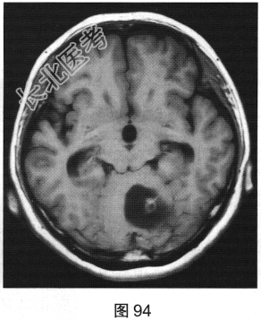
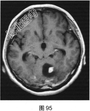
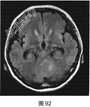
- 多项选择题2.[提示]患者行CT及MRI检查,如图90~图95所示。CT及MRI上的阳性影像学表现包括( )





A、MRI示右侧囊实性病变
B、病变实性成分增强扫描可见明显强化
C、MRI示左侧囊实性病变
D、MRI示右侧少许水肿
E、CT示左侧低密度灶
F、病变实性成分增强扫描未见明显强化
G、CT示右侧低密度灶
H、MRI示左侧少许水肿
关注下方微信公众号,搜题查看答案

- 多项选择题3.根据患者病史及影像学检查,提示其可能诊断为( )
A、血管母细胞瘤
B、毛细胞性星形细胞瘤
C、海绵状血管瘤
D、转移瘤
E、脑视网膜血管瘤病
F、胶质母细胞瘤
关注下方微信公众号,搜题查看答案

- 多项选择题4.该病最常见的部位为( )
A、脑干
B、丘脑
C、大脑
D、视网膜
E、脊髓
F、小脑
关注下方微信公众号,搜题查看答案

- 多项选择题5.患者的首选治疗方式为( )
A、放疗
B、化疗
C、中医治疗
D、生物疗法
E、手术
F、随诊观察
关注下方微信公众号,搜题查看答案

热门试题
- 关于扩大血管周围间隙,叙述正确的是(
- “环行强化”是下列哪种肿瘤的强化特征
- TORCH综合征包括下述哪些疾病 (
- 皮肤出现色素斑,很有可能是( )A、
- 下列关于脑先天发育畸形的描述,以下错误的
- 小脑血管母细胞瘤和囊性星形细胞瘤的CT鉴
- 1、患者最可能诊断为2、该患者囊内CT呈
- 不属于垂体微腺瘤的常见症状的是A、月经不
- 1、初步诊断为( )。A、脑星形细胞
- 关于肾上腺营养不良性脑白质病的脑内脱髓鞘
- 颞骨内微小结构的评价最有优势的检查方法为
- 关于髓外硬膜下肿瘤X线造影表现正确者
- 女,50岁, 反复头痛10余年,加重10
- 以下选项中不参与蝶鞍构成的是 (
- 关于多形性胶质母细胞瘤的CT表现,下列哪
- 硬膜下血肿的CT征象为A、慢性期表现为颅
- 男,25岁, 头颅外伤,昏迷, 意识丧失
- 椎管内血管畸形根据异常血管的形态和结构,
- 关于海绵状血管瘤和脑膜瘤的鉴别点,下列说
- 关于"神经纤维瘤病"最常见、最特征的脑肿