试题详情
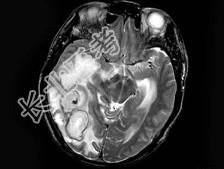
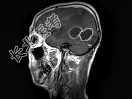
- 单项选择题男,47岁, 发热、头痛、呕吐1周,MRI检查, 最可能的诊断是 ( )

A、脑转移瘤
B、脑脓肿
C、胶质瘤
D、血吸虫性脑病
E、未见异常
关注下方微信公众号,搜题查看答案

热门试题
- 男,15岁, 2个月前无明显诱因出现头痛
- 患者男性,30岁, 车祸后昏迷入院。CT
- 男,47岁, 发热、头痛、呕吐1周,MR
- 男,40岁, 头痛、头晕、恶心,病程二年
- 急性脑梗死早期会出现 ( )A、
- 男,41岁, 左枕部疼痛,右侧肢体乏力,
- 下列哪些检查能够诊断颅内血管性疾病A、C
- 颅内脊索瘤需与下列哪种肿瘤相鉴别 (
- 1、下列描述正确的是A、左侧额顶部硬膜下
- 女,56岁, 有癫痫史,结合MRI图像,
- 结节性硬化的特征性钙化结节发生在 (
- 如图箭头所示为大脑哪个部位 (
- 腔隙性脑梗死的大小一般是 ( )
- 脑底动脉环(Willis环)不包括下列哪
- 脑梗死好发于A、大脑前动脉供血区B、大脑
- 关于多发性硬化的MRI表现,下列说法错误
- 下列对垂体微腺瘤的CT放大动态扫描特点的
- 男,46岁, 面部肌肉麻木、疼痛,咀嚼困
- 有关间脑结构的正确描述是 ( )
- 以下癫痫持续状态脑病的临床表现,不正确的