试题详情
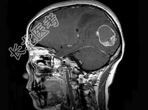
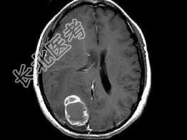
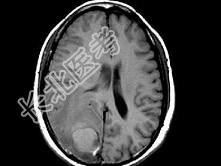
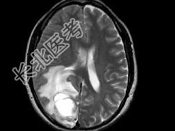
- 单项选择题女,46岁, 头痛、头昏半月入院,根据所提供图像, 最可能的诊断是 ( )

A、转移性乳头状腺癌
B、胶质瘤
C、脑脓肿
D、胶质母细胞瘤
E、毛细胞型星形细胞瘤
关注下方微信公众号,搜题查看答案

热门试题
- 可以导致结构一代谢异常源型癫痫的疾病包括
- 女,59岁, 咳嗽,痰中带血2周, 头痛
- 男,59岁, 反复头晕头痛半年余,重体力
- 获得性中耳胆脂瘤的CT特征性表现为
- 哪一项不是髓母细胞瘤的CT表现A、造成梗
- 下列脑脊液的描述,正确的选项是 (
- 生殖细胞瘤发生在颅内不同部位,分型包括(
- 侧脑室三角区对应的脑叶是A、额颞顶叶交界
- 男,45岁, 无不适,CT、MRI检查如
- 结节性硬化的诊断标准包括主要依据和次要依
- 女,58岁, 突发走路不稳1天,MRI检
- 如图箭头所示为大脑哪个部位 (
- 颅裂畸形最常见于A、发生于中线或中线旁7
- 女,34岁, 颈痛半年,结合MRI检查,
- 脑白质、灰质同时受累者,多见于A、血管源
- 在MRI图像上下列哪种肿瘤看不见化学位移
- 女,37岁, 因车祸胫骨骨折十余天,突发
- 关于蛛网膜囊肿,下列哪项是不正确的A、位
- 脑梗死最常见的CT增强表现形式为A、轻度
- 脑血管造影侧位片上大脑前动脉发出A、眶额