试题详情
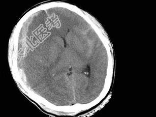
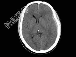
- 单项选择题男,38岁, 外伤后半个月,行CT复查如图, 最可能的诊断为 ( )

A、脑出血
B、硬膜外血肿
C、脑萎缩
D、脑挫裂伤
E、亚急性硬膜下血肿
关注下方微信公众号,搜题查看答案

热门试题
- 男,59岁, 右眼视力缺陷,结合图像,
- 中间帆腔(间位帆池)位于 ( )
- 男,35岁, 发热20天、头痛呕吐3天,
- 1、患者入院后应优先选择哪些常规检查(
- 下列结构中,哪一种结构无“血脑屏障”
- 颅内脊索瘤的特点或表现是 ( )
- 女,35岁, 停经,泌乳3年, 视物模糊
- 男,25岁, 间歇性头痛5年余,近年有时
- 眼球脉络膜黑色素瘤的检查首选为下列哪项
- 以下选项中不参与蝶鞍构成的是 (
- 血管母细胞瘤可合并A、神经纤维瘤病1型B
- 脑脓肿CT表现第三期脓肿壁形成早期是
- 在平片上,关于颅骨血管压迹的描述,正确的
- 肿瘤内常有钙化的神经胶质瘤是( )。
- 关于脑肿瘤好发年龄的描述,哪项不对
- 脑外肿瘤向内压迫脑皮质,使之受压变平的现
- 半卵圆中心是下列哪一组神经纤维组成的
- 不属于垂体微腺瘤的常见症状的是A、月经不
- 脑脓肿的CT表现分为四期,脓肿壁形成晚期
- 关于脑动脉瘤病因的描述,下列哪项正确A、