试题详情
- [材料题] 患者男性,50岁,发现脾大2个月,脾大平脐。既往有疟疾病史。查血常规:Hb 131g/L,WBC 7.92×10⁹/L,PLT 52×10⁹/L。近期出现低热,多出现在下午,最高37.6℃。
- 简答题1、根据患者血象及临床特征,考虑的诊断有?
关注下方微信公众号,搜题查看答案

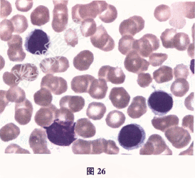
- 简答题2、【提示】进一步检查血细胞分类形态,提示外周血淋巴细胞比例78%,多数为小一中淋巴细胞,部分有细胞的毛刺样突起,染色质比正常淋巴细胞略疏松,浆灰蓝或深蓝色,有的有泡沫感(图26)。患者的诊断可能是?

关注下方微信公众号,搜题查看答案

- 简答题3、【提示】患者骨髓细胞形态学:淋巴细胞比例、形态与外周血基本相似,骨髓活检显示小淋巴细胞呈结节状或弥漫性大片增生,细胞质略丰富,之间相连形成似陷窝样结构。免疫表型:淋巴细胞增高,表达CD20、CD22、CD11c、CD103、CD25、CD123、FMN7,不表达CD3、CD5、CD10。请问该患者的诊断是?
关注下方微信公众号,搜题查看答案

- 简答题4、患者被确诊为毛细胞白血病,该类疾病血液分析仪散点图的特点为?
关注下方微信公众号,搜题查看答案

热门试题
- 1、1型糖尿病的主要病理生理机制是什么?
- 1、该质控图(图7-1)可提示什么问题,
- 1、根据上述病史和实验室检查结果,初步考
- 1、该患者可能诊断及依据为什么?2、与之
- 1、在该案例中,为什么选择使用流式细胞仪
- 1、根据上述病例资料,初步考虑该患者可能
- 1、根据上述病史和体征,该患者可能患有哪
- 1、在诊断AML时,常用的血细胞细胞化学
- 1、在心血管疾病患者的血液学检查中,为什
- 1、请问接诊该病人后,应进行的检查有?2
- 1、根据上述临床表现和初步检查结果,你认
- 1、该患者最有可能感染的致病菌是什么?2
- 1、该患者最可能的诊断是什么?2、为明确
- 1、该患者可能诊断为什么?2、依据是什么
- 1、针对该患者的病情,应立即进行哪些实验
- 1、根据上述病史及初步检查结果,列出可能
- 1、若疑伴有心力衰竭,则积液检测结果中符
- 1、最可能诊断的疾病是什么?2、血管性血
- 1、诊断的依据是什么?2、与之相关的疾病
- 1、根据上述病历资料,你认为最可能的诊断