试题详情
- [材料题] 患者女,35岁。因阴道疼痛伴白带增多3天就诊。患者3天前突感小腹不适白带量多,呈黄色,带臭味,伴尿频和尿痛。查体:右侧大阴唇下1/3处有一核桃大结节,压痛明显,稍有波动感。阴道黏膜充血,触痛明显。宫颈轻度糜烂白带多,呈黄色,部分为脓样并有臭味。一周前有不洁性交史,否认有梅毒等其他性病史,余无异常。实验室检查:取阴道分泌物检查,pH为5.5,分泌物加10%KOH溶液时有明显的鱼腥气味,阴道清洁度为Ⅳ度。余无异常。
- 简答题1、请问接诊该病人后,应进行的检查有?
关注下方微信公众号,搜题查看答案

- 简答题2、请问正常阴道分泌物存在的有形成分是?
关注下方微信公众号,搜题查看答案

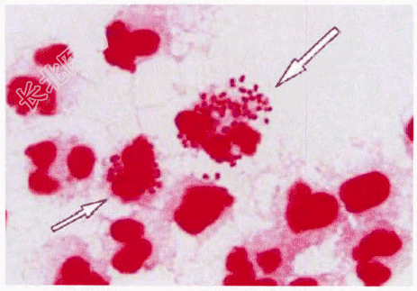
- 简答题3、该患者阴道分泌物涂片后行革兰染色结果如图所示,图中可见的有形成分有?

关注下方微信公众号,搜题查看答案

- 简答题4、为进一步确证革兰阴性双球菌,可做的实验室检查有?
关注下方微信公众号,搜题查看答案

- 简答题5、提示:取宫颈分泌物送检微生物实验室培养,其培养报告为淋病奈瑟菌。请问该细菌的特点有?
关注下方微信公众号,搜题查看答案

- 简答题6、请问淋病奈瑟菌治疗方法有哪些?
关注下方微信公众号,搜题查看答案

热门试题
- 1、根据此结果和临床表现,请问该患者的初
- 1、根据上述检查结果,该患者最可能的诊断
- 1、根据上述案例,初步考虑患者可能患有何
- 1、该患者考虑患什么疾病?2、在明确诊断
- 1、为明确诊断,需要进行的筛检试验有哪些
- 1、该案例的诊断依据是什么?2、形态学、
- 1、如何正确采集患者的血液标本?2、如何
- 1、该患儿的临床诊断为什么疾病?2、其病
- 1、细胞黏附分子在糖尿病中的作用是什么?
- 1、为确保标本的质量,在采集尿液标本时,
- 1、根据上述病史和实验室检查结果,初步考
- 1、支气管肺泡灌洗液(BALF)的主要成
- 1、尿液有形成分仪器分析在心血管疾病中的
- 1、为进一步确诊,首要的实验室检查项目是
- 1、根据上述临床资料,初步考虑该患者的可
- 1、最有可能的疾病是什么?2、患者蛋白尿
- 1、患者菌株存在的耐药机制是什么?2、对
- 1、请描述在采集患者尿液标本时,应注意哪
- 1、该患者最可能的疾病是什么?2、该疾病
- 1、已知引起心肌炎病原体是什么?其中最常