试题详情
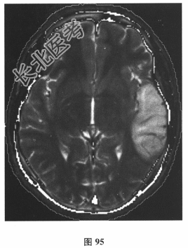
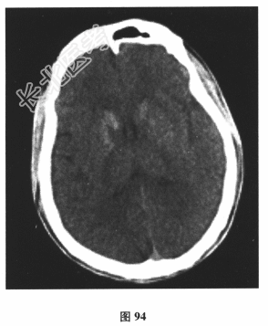
- [材料题] 患者男,24岁。由于“反复发作性四肢抽搐3个月,言语困难1d”到院就诊。3个月前饮酒后出现四肢抽搐、意识丧失,持续3min左右自行缓解;10d前再发一次四肢抽搐。遂行颅脑CT(图94)及MRI平扫检查(图95)后予丙戊酸钠对症治疗。1d前再发四肢抽搐,出现言语困难。其母亲有糖尿病病史。查体:身材矮小,意识清楚,感觉性失语,四肢肌力、肌张力正常,腱反射对称活跃,深、浅感觉正常,病理反射未引出,脑膜刺激征(-)。脑脊液:压力110mmH₂O,细胞、蛋白、葡萄糖、氯化物均正常,乳酸3.6mmol/L↑。

- 简答题1、该患者最可能的诊断是
关注下方微信公众号,搜题查看答案

- 简答题2、追问病史,患者平素有发作性头痛、耳鸣,活动后容易疲劳。有助于明确诊断的检查是
关注下方微信公众号,搜题查看答案

- 简答题3、静息及运动乳酸水平明显升高,mtDNA A3243G突变阳性。住院第2天患者再发类似的四肢抽搐,可以选用的药物包括
关注下方微信公众号,搜题查看答案

- 简答题4、线粒体脑肌病伴高乳酸酸血症和卒中样发作MELAS的EEG表现是
关注下方微信公众号,搜题查看答案

- 简答题5、患者癫痫控制后,进一步的治疗主要包括
关注下方微信公众号,搜题查看答案

热门试题
- 1、此患者最可能的诊断是2、该病的脑电图
- 1、患儿的主要症状是2、患儿的可能诊断是
- 1、该患者的诊断2、该患者右侧肢体肌力2
- 1、该患者最可能的诊断是2、该病的EEG
- 1、初步考虑该患儿的诊断最可能是2、孤独
- 1、患者的头痛和张口乏力、咀嚼困难是否可
- 1、该患儿的癫痫发作属于2、其主要临床特
- 1、该患者目前最可能的诊断为2、临床上该
- 1、如果临床考虑“中毒性脑病”,哪种疾病
- 1、此患者初步诊断须考虑2、为明确诊断,
- 1、采集病史时应特别重视?2、进行精神状
- 1、根据症状首先考虑2、为进一步明确诊断
- 1、哪点是确诊失神癫痫最主要的依据2、病
- 1、以上资料提示该患者可能存在哪些精神症
- 1、依据病史,患者最可能的诊断是2、应做
- 1、此患者最可能的诊断是?2、从已有的材
- 1、此患者最可能的诊断是?2、该患者可能
- 1、急诊应尽快完善哪些检查2、脑脊液:压
- 1、此患儿需要考虑哪些诊断2、你认为此患
- 1、该患者诊断首先考虑2、为明确诊断,应