试题详情
- [材料题] 【病例】男性,56岁。左下腹间断针刺样疼痛2月余,持续约1小时,无明显缓解因素。无恶心呕吐,无发热寒战,无皮肤黏膜黄染,饮食正常,两便未见异常,体重未见明显减低。
【专科查体】患者下腹部略膨隆,左下腹触及可疑占位。无明显腹膜炎征象,移动性浊音阴性。
【腹部CT检查】仰卧位,横断位CT平扫及增强扫描,扫描层厚为5mm;后处理图像层厚为1.25mm,重建冠状位、矢状位图像。
【影像图片】见图6-11-1。
【手术所见】腹膜后见一巨大占位,呈球形,包膜完整,张力较大,目测直径为12~15cm,病灶邻近的血管、肠管及脂肪组织呈受压改变,病灶后方与左侧腰大肌分界不清,周围结构略紊乱,呈炎性渗出改变,切除病灶,包膜内见大量果冻样坏死组织,术中切除大部分瘤体,连同病灶包膜一并切除,送快速冰冻病理检查。
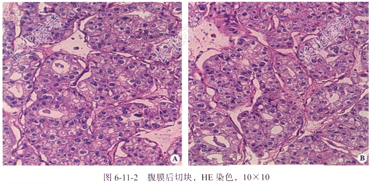
【病理所见】(腹膜后肿物)不整组织一块,大小约12cm×8cm×6cm,包膜完整,表面呈灰红色,切面呈灰黄色、灰白色,质韧。镜下所见如图6-11-2所示。免疫组化结果:CK(-),Vim(+),ER(-),PK(+),S-100(-),CD117(-),Dog-1(-),Desmin(灶+),SMA(+),h-Caldsmon(-),Ki-67(40%+),MyoD1(-),CD34(-),STAT6(-)。
【病理诊断】黏液性脂肪肉瘤。
- 简答题1、诊断要点是什么?
关注下方微信公众号,搜题查看答案

- 简答题2、鉴别诊断是什么?
关注下方微信公众号,搜题查看答案

热门试题
- 1、肝囊肿的影像表现有哪些?2、肝囊肿的
- 1、提示:骨盆、腰椎X线片显示骨盆、腰椎
- 1、患者的诊断及依据是什么?2、主要的鉴
- 1、患者诊断要点是什么?2、病毒性脑炎鉴
- 1、CTA提示为前交通动脉瘤并发破裂出血
- 1、诊断要点是什么?2、鉴别诊断是什么?
- 1、患者的诊断及依据是什么?2、肠梗阻的
- 1、患者的诊断及依据是什么?2、鉴别诊断
- 1、肺结核不同类型的影像特点有哪些?2、
- 1、该病例临床拟诊为?2、慢性中耳乳突炎
- 1、患者的诊断及依据是什么?2、鉴别诊断
- 1、鼻咽纤维血管瘤的诊断要点是什么?2、
- 1、诊断要点是什么?2、鉴别诊断是什么?
- 1、患者CT线检查的主要影像表现是什么?
- 1、诊断及依据是什么?2、鉴别诊断有哪些
- 1、根据上述资料,你认为应该做哪些检查?
- 1、主动脉瘤的影像学表现和诊断标准有哪些
- 1、室管膜瘤的影像学诊断有哪些?2、室管
- 1、脑膜瘤的诊断依据是什么?2、脑膜瘤的
- 1、该患者可能诊断及依据为什么?2、硬膜