试题详情
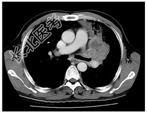
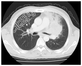
- [材料题] 患者,男性,58岁。咳嗽咳痰1月余,间有血丝痰。无发热及胸痛。查体.锁骨上可扪及肿大淋巴结。左上肺呼吸音稍弱,双肺未闻及干湿性啰音。心脏无异常。行胸部CT增强扫描。

- 简答题1、患者的诊断及依据是什么?
关注下方微信公众号,搜题查看答案

- 简答题2、鉴别诊断有哪些?
关注下方微信公众号,搜题查看答案

热门试题
- 1、根据以上资料应该做哪些检查?2、患者
- 1、患者的诊断及依据是什么?2、鉴别诊断
- 1、CT引导下穿刺活检术的适应证和禁忌证
- 1、诊断线索及影像诊断思路是什么?2、诊
- 1、支气管扩张的鉴别诊断有哪些?2、支气
- 1、急性冠脉综合征的危险分层策略有哪些?
- 1、患者的诊断及依据是什么?2、患者的相
- 1、诊断要点是什么?2、鉴别诊断是什么?
- 1、诊断及依据是什么?2、鉴别诊断有哪些
- 1、诊断及依据是什么?2、鉴别诊断有哪些
- 1、患者的诊断及依据是什么?2、患者的相
- 1、该患者的诊断是什么?其影像学表现有哪
- 1、患者应进行哪些检查?2、患者行胸片正
- 1、中央神经细胞瘤的影像学诊断有哪些?2
- 1、请简述该病例的诊断要点是什么?2、鉴
- 1、该患者可能诊断及依据是什么?2、脑动
- 1、患者的诊断及依据是什么?2、鉴别诊断
- 1、诊断要点是什么?2、鉴别诊断是什么?
- 1、为明确血管的闭塞程度应行的检查是?2
- 1、诊断及依据是什么?2、鉴别诊断有哪些