试题详情
- [材料题] 一、病史资料
1.现病史
患者,女性,37岁,既往体健,因“发热、咳嗽11天,加重伴气急、痰血5天”入院。
该患者于2009年11月9日起病,咳嗽,发热,体温38.5℃,有畏寒,无寒战。查血WBC7.3×10⁹/L,N89.4%,X线胸片提示未见异常,予头孢呋辛治疗无好转。13日于外院治疗复查X线胸片提示“两下肺感染”(见图32-1),并改用青霉素治疗。14日收住另一医院住院治疗,期间病情加重,出现气急、胸闷,咳铁锈色泡沫痰,每日30口。16日晨出现面色发绀,未吸氧时氧饱和度低至50%,复查床旁X线胸片提示“两肺广泛渗出”(见图32-2)。转入我院,在发热门诊查甲流(+),H1N1(可疑)。患者仍有发热,气急较前加重,予奥司他韦75mg po bid,以及无创呼吸机治疗并转入呼吸科ICU。
其子4岁,11月8日起病,发热6天后好转,所在幼儿园班级因有发热而停课。
2.既往史
无殊。
3.体格检查
T37.0℃,P76次/min,R25次/min,BP120mmHg/80mmHg,肥胖体型,体重指数28.4kg/m²,神清,持续口鼻面罩连接无创呼吸机,呼吸急促。查体合作,口唇无发绀,两肺叩诊呈清音,两肺呼吸音增强,可闻及干性啰音,心脏相对浊音界正常,HR76次/min,律齐,心音有力,未闻及病理性杂音。余查体无明显异常。面罩机械通气,BiPAP模式,吸气压28cmH₂O,PEEP10cmH₂O,f20次/min,FiO₂100%。
4.实验室及辅助检查
入院时血常规:Hb132g/L;PLT110×10⁹/L;WBC11.3×10⁹/L;N85.8%。ESR:7mm/h,血生化:ALB31g/L,K⁺3.4mmol/L,Na⁺146mmol/L,Cl⁻105mmol/L,TG9.67mmol/L,CRP37.2mg/L。D-二聚体:2.80mg/L。心功能:cTnT0.069,NT-proBNP1420pg/ml,CK-MB3.7。T细胞亚群、ENA六项、ANCA、肝炎四对半、HIV、梅毒抗体、血糖、肾功能无异常。PPD、G试验(-)。
11月23日血气分析(无创通气,FiO₂70%):pH7.49,PaCO₂34mmHg,PaO₂64mmHg,HCO₃⁻25.9mmol/L,BE2.6mmol/L,SpO₂94%。12月25日血气分析(鼻导管吸氧,FiO₂41%):pH7.42,PaCO₂35mmHg,PaO₂90mmHg,HCO₃⁻26.9mmol/L,BE3.2mmol/L,SpO₂97%。D-二聚体、proBNP正常,甘油三酯1.97mmol/L。
二、诊治经过
初步诊断:急性呼吸窘迫综合征。
诊治经过:入院后予无创呼吸机口鼻面罩连接以及高浓度吸氧治疗,予抗病毒(奥司他韦),抗感染(予美罗培南、替考拉宁、阿奇霉素,后予莫西沙星口服),糖皮质激素(甲泼尼龙),化痰,肠内营养以及制酸、降糖、补钾对症治疗等。患者病情好转,无发热,有咳嗽、气急(见图32-3、图32-4)。
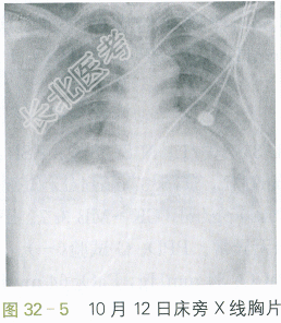
患者之后出现右下肢轻微肿胀,D-二聚体3.2mg/L,予以低分子肝素(依诺肝素)治疗。12月4日出现皮下气肿,及时停用无创呼吸机。12月8日血胆固醇59mg/L,给予阿托伐他汀10mgqd。住院期间还予口腔护理防治真菌感染等,患者咳嗽轻,有咳白色黏液痰,稍活动有气急。查体:呼吸平稳,两肺未闻及干湿性啰音,HR80次/min,律齐,四肢肌力可,无肌肉萎缩。影像学示两肺仍呈弥漫性炎症,病灶吸收慢,伴纤维化形成(见图32-5、图32-6)。于12月25日好转出院,吸氧2L/min时PaO₂为62mmHg。1个月后不吸氧时,PaO₂为68mmHg。

- 简答题1、该患者诊断的依据有哪些?
关注下方微信公众号,搜题查看答案

- 简答题2、ARDS的诊断标准是什么?
关注下方微信公众号,搜题查看答案

- 简答题3、呼吸衰竭有哪些类型?
关注下方微信公众号,搜题查看答案

- 简答题4、ARDS与急性左心衰的如何鉴别?
关注下方微信公众号,搜题查看答案

热门试题
- 1、该患者诊断为自发性气胸的依据有哪些?
- 1、针对患者血尿问题,应如何护理?2、如
- 1、上消化道出血最常见的病因有哪些?如何
- 1、患者的诊断及依据有哪些?2、需要与哪
- 1、患者初步诊断为溃疡性结肠炎,确诊需做
- 1、该患者目前病情观察与护理的要点有哪些
- 1、应进行哪些血清检查以明确诊断?2、患
- 1、请问哪些是鉴别心源性哮喘与支气管哮喘
- 1、此时,该患者伤口应如何处理?2、针对
- 1、该患者目前存在的护理问题有哪些?2、
- 1、请问对此患者的治疗应为?2、遵医嘱应
- 1、如何判断患者病情严重程度?2、如何估
- 1、该病人拟诊为什么疾病?2、进一步可做
- 1、该患者目前存在的护理问题有哪些?2、
- 1、该患者的诊断是什么?2、如何用药治疗
- 1、简述患者的处理方案及理由。2、肝性脑
- 1、结核病分哪几型?2、患者考虑继发性肺
- 1、患者初步诊断及依据有哪些?2、如何与
- 1、该患者目前存在的护理问题有哪些?2、
- 1、IgA肾病的临床表现和治疗方式有哪些