试题详情
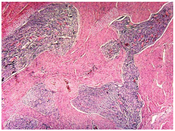
- [材料题] 患者女性,46岁,B超检查发现子宫异常增大,行子宫切除。大体见子宫一肿物呈圆形,表面粗糙,切面可见坏死(如图)。显微镜下见肿瘤细胞大小较一致,核分裂多见,10个/10HP,部分区见浸润性生长(如图)。免疫组化DES(-)、CD10(+)。

- 简答题1、最可能的诊断为?
关注下方微信公众号,搜题查看答案

- 简答题2、该疾病可以有几种类型的分化?
关注下方微信公众号,搜题查看答案

- 简答题3、该疾病需与哪些疾病进行鉴别诊断?
关注下方微信公众号,搜题查看答案

热门试题
- 1、该疾病多发于?2、该疾病免疫组化表达
- 1、遗传性结直肠癌典型代表主要有哪几类?
- 1、该疾病常见于?2、该疾病根据瘤细胞核
- 1、该患者应诊断为?2、该疾病多发于?3
- 1、此病变应诊为?2、该疾病的临床特点是
- 1、该患者最可能的诊断是什么?2、该疾病
- 1、本病可发于?2、本病肉眼改变可有哪些
- 1、该疾病好发部位为?2、根据其病变累及
- 1、最可能的疾病是?2、该疾病的肉眼改变
- 1、该疾病的病因有?2、该疾病可有哪些肉
- 1、该疾病好发于?2、该疾病病理特点表现
- 1、该疾病的临床特点是?2、该疾病的病理
- 1、应考虑的诊断为?2、该病的疾病类型属
- 1、该疾病镜下改变表现为?2、该疾病免疫
- 1、此肿瘤应诊断为?2、该疾病免疫组化表
- 1、最可能的诊断是?2、该疾病的免疫组织
- 1、该患者最可能的病因是?2、该疾病的病
- 1、最可能的诊断为?2、该肿瘤的性质为?
- 1、早期胃癌分为?最多见的是?2、表浅型
- 1、此患者最可能的诊断是?2、该疾病的病