试题详情
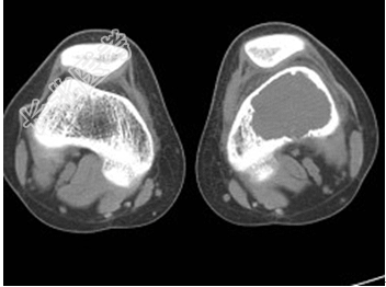
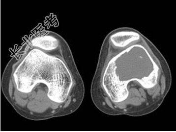
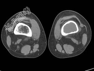
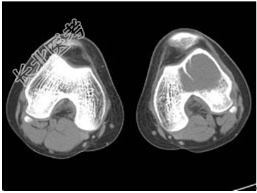
- [材料题] 患者,男,33岁,左股骨肿块半年余,无明显症状,查体一般情况良好。

- 简答题1、结合所提供的图像,该患者诊断为?
关注下方微信公众号,搜题查看答案

- 简答题2、该疾病的治疗原则是?
关注下方微信公众号,搜题查看答案

热门试题
- 1、该患者的诊断是?2、为什么患者会出现
- 1、该患者的诊断及诊断依据是什么?2、进
- 1、患者需要再次手术吗?如果不需要手术什
- 1、该患者初步诊断为?2、该病的诊断及鉴
- 1、诊断是什么?2、描述一下X线片特征。
- 1、该患者的诊断2、该患者目前主要的治疗
- 1、该患者的初步诊断是什么?2、诊断依据
- 1、目前考虑的诊断是什么?诊断依据是什么
- 1、该患者的诊断2、该患者目前主要的治疗
- 1、该患者的诊断2、该患者目前主要的治疗
- 1、该患者最可能的诊断是什么?2、该病流
- 1、该患者的诊断2、该患者目前主要的治疗
- 1、该患者的诊断和诊断依据是什么?2、可
- 1、该患者的诊断2、该患者目前主要的治疗
- 1、为了明确分期,患者还应该做的检查2、
- 1、该患者的诊断2、该患者目前主要的治疗
- 1、胰腺癌病因是什么?危险因素有哪些?2
- 1、该患者的诊断2、病因是什么?3、免疫
- 1、该患者最可能的诊断是2、该患者下一步
- 1、该患者诊断是?2、该疾病的治疗原则是