试题详情
- [材料题] 患儿男性,3岁9个月,因“发现右腹部无痛性肿物1周”入院。无发热,无血尿,无气促。查体:右侧中腹部可扪及肿物,约6cm×4.5cm,表面光滑,活动度差。门诊B超显示:右肾占位病变,约7.5cm×4.8cm,左肾未见肿物。
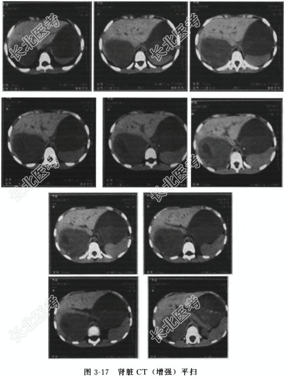
患者为男性儿童。入院时PS评分为1分,肾脏平扫(图3-17)示:右肾见一7.5cm×4.8cm×6.0cm占位,增强扫描后病灶局部明显强化,边界清楚,腹主动脉旁淋巴结肿大,下腔静脉未见癌栓形成,左肾未见异常。胸部CT扫描显示双肺未见异常。

- 简答题1、对目前的诊断和治疗有何建议?
关注下方微信公众号,搜题查看答案

- 简答题2、该患儿具体的手术治疗方案是什么?
关注下方微信公众号,搜题查看答案

- 简答题3、术后病理提示:肿瘤外观完整,未分化型,腹主动脉旁淋巴结转移。该患者属于哪期?下一步治疗的具体方案是什么?
关注下方微信公众号,搜题查看答案

热门试题
- 1、该患者目前的临床分期是2、该患者治疗
- 1、该患者的诊断2、该患者目前主要的治疗
- 1、该患者的诊断是什么?2、诊断依据是什
- 1、为了明确分期,患者还应该做的检查2、
- 1、该患者初步诊断为?2、结肠癌的病因是
- 1、该患者的诊断2、病因是什么?3、免疫
- 1、该患者的诊断2、根据病史汇报,该患者
- 1、阴茎肿物的初步诊断可能为2、还需要与
- 1、患者下一步治疗考虑?2、患者无化疗禁
- 1、该患者的诊断2、精原细胞瘤的主要症状
- 1、该患者的诊断2、该病的病因是什么?3
- 1、该患者皮肤结节的可能诊断有2、该患者
- 1、该患者最可能的诊断是什么?2、该病流
- 1、该患者的诊断2、该患者目前主要的治疗
- 1、该患者的诊断2、该患者目前主要的治疗
- 1、该患者初步诊断为2、诊断依据是什么3
- 1、该患者的诊断为?2、该患者诊断为胸膜
- 1、目前考虑的诊断是什么?诊断依据是什么
- 1、该患者的诊断2、该患者目前主要的治疗
- 1、该患者初步诊断为?2、该病的诊断及鉴