试题详情
- [材料题] 患者,女,27岁,既往体健。主因右上腹疼痛2天于急诊就诊。患者腹痛性质为隐痛和间歇性疼痛,部位局限于右上腹和上腹部,疼痛与进食无关。患者入院时无发热,生命体征平稳,腹部触诊柔软,无明显肿块,上腹部存在轻度压痛。
实验室检查包括全血计数、肝酶和胰酶水平均正常。急诊腹部超声检查未发现胆结石和胆囊炎特征。初步诊断为严重消化不良,遂入院接受对症治疗和进一步检查。
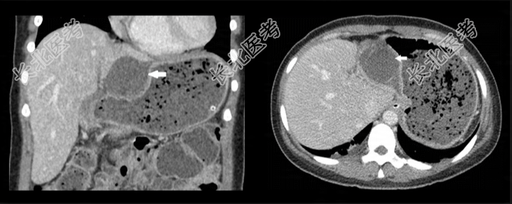
入院12h,患者自述腹痛加剧伴发热,腹部检查示右上腹压痛和肌卫,墨菲氏征阴性。实验室检查显示白细胞计数升高(13,300/μL),中性粒细胞占比86%。腹部CT检查显示胆囊体和底部从胆囊窝移位至肝胃隐窝,胆囊明显肿胀伴胆囊壁弥漫性增厚,无不透光结石,胆囊壁增强减弱。基于上述发现,诊断为胆囊扭转伴急性非结石性胆囊炎。

- 简答题1、入院后病情变化的临床表现有什么意义?
关注下方微信公众号,搜题查看答案

- 简答题2、有哪些典型的临床表现?
关注下方微信公众号,搜题查看答案

- 简答题3、胆囊壁弥漫性增厚和增强减弱的影像学特点是什么?
关注下方微信公众号,搜题查看答案

- 简答题4、最佳治疗方案是什么?
关注下方微信公众号,搜题查看答案

热门试题
- 1、本病例最可能诊断是2、对于本例病人处
- 1、最可能的诊断是?2、该患者的治疗原则
- 1、该疾病的诊断和诊断依据是什么?2、还
- 1、该患者诊断为?诊断依据是2、列举至少
- 1、目前考虑的诊断是什么?该疾病的临床特
- 1、该患者初步诊断及诊断依据为?2、与之
- 1、该疾病的诊断和诊断依据是什么?2、需
- 1、该患者应考虑的疾病是什么?2、如何治
- 1、该患者的诊断及诊断依据为?2、还需要
- 1、应考虑诊断为?2、本疾病的严重并发症
- 1、主要考虑疾病是2、应予面哪些检查3、
- 1、该患者初步诊断的结果是什么?2、该患
- 1、该患者诊断为哪种疾病?2、为明确诊断
- 1、提示:病员在急诊室腹痛加剧,病因尚不
- 1、该患者的诊断为?2、需要与哪些疾病相
- 1、该患者初步诊断的结果是什么?2、该患
- 1、该患者初步诊断的结果是什么?2、该患
- 1、该患者最可能的诊断是,并给出诊断依据
- 1、该患者初步诊断的结果是什么?2、该患
- 1、诊断与诊断依据为?2、需与哪些疾病相