试题详情
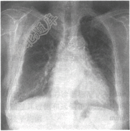
- 单项选择题女性患者,46岁。呼吸困难入院,胸部X线平片如下图,右侧肋膈角区垂直于胸壁内侧面的线状影为

A、Kerley B线
B、胸腔积液
C、盘状肺不张
D、Kerley A线
E、Kerley C线
关注下方微信公众号,搜题查看答案

热门试题
- 男,39岁,突发胸痛,胸片未见异常,胸部
- 以下哪一项对诊断尿路感染最有意义A、清洁
- 患者,腹痛6天,怀疑胰腺炎,应查以下哪项
- 关于淤血性肝硬化,哪项说法不正确A、主要
- 患者女,45岁。因发热、皮肤黏膜出血1周
- 血浆纤维蛋白原(FIB)比浊法与以下哪项
- 关于急性上呼吸道感染,以下不正确的是A、
- 诊断巨幼细胞贫血最直接的证据是A、骨髓象
- 去除血液中白细胞可有效预防的输血不良反应
- 1、最可能的诊断为2、最不恰当的处理是3
- 甲亢患者既往有哮喘史,以下哪种药物不宜使
- 关于慢性阻塞性肺疾病(COPD)的严重程
- 缺铁性贫血注射铁剂的指征为A、原有胃肠道
- 关于特发性血小板减少性紫癜(ITP)无误
- 关于aVR导联的连接方式,无误的是A、右
- 1、如果动态观察甲胎蛋白(AFP)阴性,
- 手术区皮肤消毒范围,应该包括切口周围A、
- 女性,14岁。感冒后出现心慌气急,拟诊病
- 糖尿病酮症酸中毒时,电解质紊乱表现是A、
- 关于甲亢性心脏病,以下不恰当的是A、甲亢