试题详情
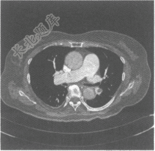
- 单项选择题男,39岁,突发胸痛,胸片未见异常,胸部增强CT如图。应诊断是

A、心肌梗死
B、肺动脉栓塞
C、肺结核
D、主动脉夹层
E、中央型肺癌
关注下方微信公众号,搜题查看答案

热门试题
- 水肿型胰腺炎时可能出现A、脐部及腰部皮肤
- 用于临床上的3种白蛋白制剂浓度分别为A、
- 出血坏死性急性胰腺炎产生的胸水或腹水是因
- 男,60岁,饮酒30年。近期出现上腹部痛
- 1、临床无出血症状且APTT延长,PT正
- 以下物质中促进肝硬化患者腹水形成最重要的
- 女性患者,25岁。因"感冒"后1天出现镜
- 甲状腺功能亢进危象的主要临床表现为A、血
- 正常机体蛋白质(氨基酸)需要量,下列哪一
- 临床疑为DIC,应选择以下哪组筛选试验A
- 自体输血有很多优点,但以下评价中,不正确
- 以下不符合甲亢心血管系统临床表现的是A、
- 以下关于冠心病用药,错误的观点是A、Br
- 1、根据糖尿病足Wagner分级法,该患
- 女性患者,24岁。临床诊断1型糖尿病,予
- 下列哪项实验不能协助诊断重症肌无力A、腾
- 冠心病心绞痛发生的原因为A、主动脉瓣闭锁
- 1、该患者最可能的诊断为2、为明确诊断,
- 早期糖尿病肾病伴高血压患者,应首选的治疗
- 输血相关性急性肺损伤的主要原因,是因为供