试题详情
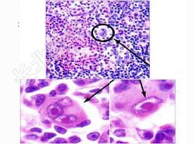
- 多项选择题有关R-S细胞的正确描述是 ( )

A、双核或多核
B、核仁大而红染
C、核仁周围有空晕
D、胞质少
E、形成镜影细胞
关注下方微信公众号,搜题查看答案

热门试题
- 1、建议给患者进行化疗的方案为2、200
- 感染与癌症关系密切,下列感染因子与癌症关
- 1、依据NIH2008年胃肠间质瘤复发风
- 影响肿瘤发病风险的因素包括( )A、
- 肺癌放疗后出现急性放射性肺炎时,主要的治
- 1、对帮助诊断首先考虑要做的检查是A、膀
- 对于肺癌肿块不能彻底切除的病例术后放疗
- 1、首先考虑的诊断是2、进一步检查应是
- 1、根据以上征候,最可能的诊断是 (
- 以下对转移的肿瘤细胞的描述正确的是(
- 1、应考虑的诊断是2、治疗首选的治疗方式
- 1、为明确诊断和分期,该患者应完善的检查
- 大肠癌术后辅助化疗方案包括( )A、F
- ICH-GCP的基本要点包括( )A
- 食管癌的扩散方式包括( )A、食管内扩
- 1、本案例应属于哪一种乳腺癌( )
- 关于睾丸肿瘤,下列不正确的是( )A、
- 1、TNM分期应为2、中晚期舌癌应采用综
- 1、根据上述病史、检查,临床诊断考虑为(
- 1、出血的可能来自 ( )2、膀