试题详情
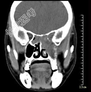
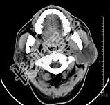
- 多项选择题男性50岁,涕中带血半年, 体检发现左侧颈部多个硬结,CT扫描如图所示, 请选择正确的描述和结论 ( )

A、左侧筛窦内见软组织块影,边缘不规则
B、软组织影累及对侧筛窦、左侧上颌窦
C、左侧眶内壁、上颌窦壁及颅底骨质破坏
D、考虑为左侧筛窦黏液性囊肿
E、考虑为左侧筛窦癌
关注下方微信公众号,搜题查看答案

热门试题
- 结肠癌最早出现的症状为 ( )A
- 1、为明确诊断,下一步检查是A、正电子发
- 下列恶性肿瘤中,其临床分期采用TNM分期
- 胃癌特殊病理类型有 ( )A、印
- 胃癌术前分期较为常用的影像学检查有(
- 关于胸腺瘤哪些叙述是正确的 (
- 1、临床诊断最大可能是 ( )2
- 1、该患者术后合适的治疗为A、单纯放疗B
- 恶性肿瘤的扩散方式是( )A、直接蔓延
- 扶正培本法治疗肿瘤最常用的药物有(
- 1、为明确肿瘤局部侵犯范围以下检查中最佳
- 1、若行Ga炎症显像,显像方法正确的是2
- 1、该患者目前的诊断是( )2、目前
- 1、结合患者现病史、既往史和影像学表现,
- 1、该患者肝占位首先应考虑的诊断是(
- 哪些属于5-FU治疗的新进展 (
- 脑组织的放射性耐受量与下列哪些因素有关
- 下列哪些符合鳞状细胞癌的特征?( )A
- 1、临床TNM分期为( )2、手术治
- 1、最可能的诊断是( )2、可能引起该