试题详情
- [材料题] 患者男性,69岁,因"间断喘憋50余年,加重1周"就诊。患者50余年前出现发作性喘憋,多在春季或吸入刺激性气味时发作,曾服用中药治疗,效果不佳。近半年喘憋发作较前增多,且出现活动时喘憋,休息可好转,活动耐力下降,间断使用舒利迭50/250μg吸入治疗,缓解不明显,有时含服速效救心丸,喘憋可有所好转。近1周感冒后喘憋加重,每天均有发作,活动时加重,夜间间断端坐呼吸,收入院。既往史:糖尿病8年,不规律服用阿卡波糖50mg一天3次,空腹血糖6mmol/L左右,餐后血糖波动在10~15mmol/L。脂代谢异常异常8年,具体不详,未药物治疗。否认高血压病史。吸烟30年,每天20支,已戒半年。查体:T36.6℃,P104次/分,R20次/分,BP130/70mmHg,口唇未见发绀,颈静脉无怒张,双肺呼吸音粗,可闻及大量哮鸣音,心律齐,心率104次/分,P2
- 多项选择题1.患者入院后应首先进行的常规检查
A、心电图(ECG)
B、血气分析
C、心肌酶谱
D、超声心动图(UCG)
E、肺功能
F、空腹血糖和糖化血红蛋白
G、心电图运动试验
H、B型钠尿肽(BNP)
I、血常规
J、胸部X线片
K、冠状动脉造影
关注下方微信公众号,搜题查看答案

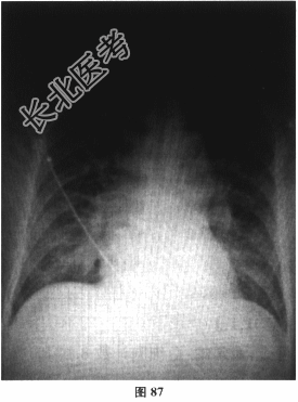
- 多项选择题2.[提示]实验室检查:血常规: 白细胞计数8.07×109/L,中性粒细胞百分比78.6%, 血红蛋白浓度150g/L,血小板计数174×109/L; 生化:肝肾功能正常, BNP246pg/ml,心肌酶谱: CK、CK-MB、cTNI值均在正常范围,hsCRP51.82mg/L, D二聚体0.36mg/L;胸片(图87): 心影增大,双肺纹理增多紊乱, 肺野内可见片状模糊影,内带为著, 双肺门增大,考虑肺水肿; 血气分析:pH7.39, PaCO243mmHg,PaO262mmHg, SaO292%;ECG如图88所示。
导致患者喘憋的原因可能是 A、心肌缺血导致心功能不全
B、支气管哮喘急性发作
C、慢性肺源性心脏病
D、糖尿病心肌病变
E、急性呼吸道感染
F、急性肺栓塞
关注下方微信公众号,搜题查看答案

- 多项选择题3.[提示]患者入院后给予抗感染、解痉平喘、利尿等药物治疗后喘憋略好转,夜间可平卧, 但活动时仍喘憋,喘憋发作时双肺仍可闻及哮鸣音, 查心肌酶:CK-MB3.1ng/ml, cTnI0.25ng/ml,UCG提示各房室腔内径正常范围, 左心室节段性室壁运动减弱,以前壁、前间隔及心尖部为著, 左室射血分数46%。患者喘憋发作的处理,正确的是
A、雾化吸入糖皮质激素
B、雾化吸入短效β-受体激动剂
C、口服长效β-受体激动剂
D、静脉给予氨茶碱
E、口服卡维地洛
F、使用硝酸酯类
G、BiPAP无创通气
关注下方微信公众号,搜题查看答案

- 多项选择题4.病情稳定后应该进行的检查有
A、肺功能检查
B、心电图运动试验
C、肺通气灌注扫描
D、肺动脉CT血管成像
E、冠状动脉CT
F、心脏MRI
关注下方微信公众号,搜题查看答案

- 多项选择题5.[提示]患者喘憋好转后行冠状动脉造影提示冠脉分布右优势型。LM中远段斑块浸润,狭窄30%。LAD自发出处完全闭塞。LCX近中段弥漫斑块浸润, 近段狭窄60%~70%,OM发出前可见溃疡, 最重狭窄60%~70%,远段斑块浸润, 狭窄50%;RCA近段斑块浸润, 自第一屈膝部完全闭塞(图89)。
于LAD置入药物涂层支架1枚。介入治疗术后患者喘憋发作较前明显减少,复查胸片肺水肿好转。患者出院后综合药物治疗包括 A、双联抗血小板治疗
B、哮喘控制后小剂量起始应用选择性β1-受体阻滞剂
C、加用血管紧张素转换酶抑制剂
D、螺内酯
E、吸入激素/长效β-受体激动剂
F、口服长效β-受体激动剂
G、他汀调脂稳定斑块治疗
关注下方微信公众号,搜题查看答案

热门试题
- 1、支架脱落的常见操作相关原因包括(
- 患者既往风湿性心脏病病史20年,听诊心尖
- 激素的传递方式有( )A、远距离分泌B
- 1、证实心脏骤停可根据2、捶击复律可用于
- 1、入院后应进行的检查包括A、血常规B、
- 出现下列何种情况应停洋地黄A、室性期前收
- 口对口人工呼吸的要求是A、保持呼吸道通畅
- 1、最可能的诊断是( )A、高渗性非
- 1、该患者诊断应考虑( )2、根据已
- 以下关于双极起搏系统的描述正确的是A、导
- 动脉导管未闭患者可能出现的体征有(
- Na+泵的作用有A、将Na+转运至细胞内
- 1、应该首选的再灌注治疗方案是2、应该给
- 引起糖尿病心血管并发症的危险因素有(
- 房间隔缺损患者进行介入封堵术须具备的条件
- DDD方式的心脏起搏器特点A、经济、方便
- 临床上可以引起继发性Q-T间期延长,进而
- 超声心动图可以明确诊断导致晕厥的继发性心
- 1、患者体液因子水平的变化,正确的是2、
- 某患者因高血压心脏病,心功能Ⅲ级住院治疗