试题详情
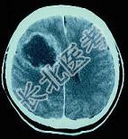
- [材料题] 女,54岁,发热,头痛,呕吐20天,左侧肢体无力6天,发病前有皮肤感染史,实验室检查:周围血象白细胞总数12.7×109/L,中性粒细胞0.76,核左移。
- 多项选择题1.颅脑CT见图,下列神经系统检查中,哪项对诊断颅内压增高有价值 ( )

A、颈部有抵抗感
B、左侧肢体肌力Ⅲ级
C、左侧鼻唇沟变浅
D、双眼底视乳头水肿
E、左下肢Babinski征阳性
关注下方微信公众号,搜题查看答案

- 多项选择题2.在定性诊断时最可能的诊断是 ( )
A、脑脓肿
B、恶性胶质瘤
C、脑包囊虫病
D、脑结核瘤
E、转移瘤
关注下方微信公众号,搜题查看答案

- 多项选择题3.最合适的治疗措施是 ( )
A、开颅探查行局部病灶切除术
B、采用抗生素治疗
C、脱水、激素、抗肿瘤药物治疗
D、使用抗寄生虫药
E、钻孔穿刺术
关注下方微信公众号,搜题查看答案

- 多项选择题4.在选用抗生素时,下列哪类是不适当的 ( )
A、庆大霉素
B、灭滴灵
C、青霉素
D、氯霉素
E、头孢菌素(第三代)
关注下方微信公众号,搜题查看答案

热门试题
- 1、临床应首先考虑的诊断是A、高血压性脑
- 1、为明确诊断,应进行的门诊检查包括2、
- 1、对明确诊断意义最大的检查是2、首先考
- 1、回顾此患者在诊治过程中所接受诊治措施
- 立体定向手术的基本仪器和设备是A、定位器
- 关于小脑上脚的描述,正确的是 (
- 颅后窝占位性病变出现枕骨大孔疝危象时,快
- 1、该病例GCS分级为2、该病例属何种类
- 小脑扁桃体下疝畸形的病理改变可以有A、小
- 继发性帕金森综合征的常见原因有A、颅脑损
- 颈动脉体瘤的临床表现为A、吞咽困难B、舌
- 男孩,11岁。性早熟, 渐进性头痛、呕吐
- 经动脉途径治疗外伤性颈内动脉海绵窦瘘,下
- 1、最好先进行的检查是2、本病主要考虑
- 术中吲哚菁绿血管造影(ICG-VA)在脑
- 关于中枢神经系统血管母细胞瘤,叙述正确的
- 神经调控手术的优势在于A、手术风险低B、
- 关于脊柱裂手术的叙述正确的是A、所有隐性
- 1、最可能是A、脊髓髓内肿瘤B、左髓外硬
- 关于听神经瘤手术治疗的常见入路及各自优缺