试题详情
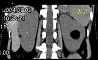
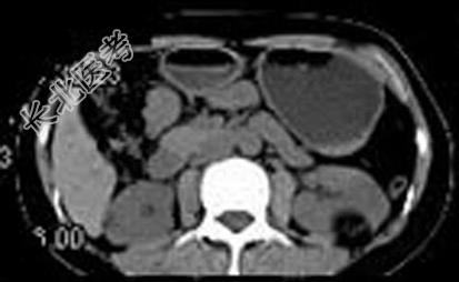
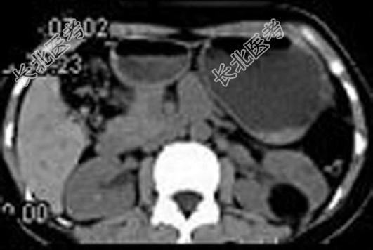
- 多项选择题女,38岁, 体检时B超在左肾探及一中强回声光团,边界清, 内部回声均匀,CT检查如图所示, 下列说法正确的是 ( )

A、左肾中部靠后方可见一类圆形低密度病灶
B、病灶与周围肾组织界限清楚
C、病灶密度为脂肪密度
D、考虑为左肾血管平滑肌脂肪瘤
E、考虑为左肾脂肪瘤
关注下方微信公众号,搜题查看答案

热门试题
- 静脉肾盂造影应包括以下几种方法A、常规法
- 肾结核的诊断依据是 ( )A、腰
- 膀胱肿瘤复发的主要原因包括A、原发肿瘤未
- 下列腹膜后肿物在影像学上表现为实性肿物的
- 1、为明确诊断,应采用的检查方法是2、肿
- 男性,30岁, 反复泌尿系感染3个月,尿
- 目前已经明确的与前列腺增生密切相关的因素
- 肾损伤的远期并发症是A、尿囊肿B、高血压
- 1、应急诊做什么处理?2、尚需做哪些检查
- 库欣综合征筛选检查标准包括( )。A
- 下述哪些疾病情况可以行膀胱镜检查A、大量
- 不宜行膀胱镜检查的有 ( )A、
- 1、下列检查首选2、CT显示右肾裂伤、肾
- 1、按照弹道的情况诊断为2、此时适宜的治
- 闭合性肾损伤可做下列哪些检查A、动脉造影
- 男性,72岁, 排尿困难5年,近2个月加
- 1、哪一种诊断的可能性最大?2、暂不需做
- 1、对本例而言,哪一个最可能是血尿的原因
- 1、为进一步明确诊断,首选检查是2、肾错
- 尿道损伤后的局部治疗包括A、恢复尿道的连