试题详情
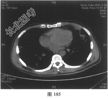
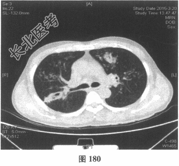
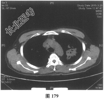
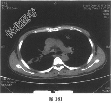
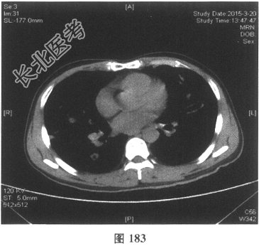
- [材料题] 患者男性,52岁,因间断发热伴咳嗽,咳少许黄痰,无咯血,伴胸闷憋气20余天就诊。体检:体温37.6~38.3℃。既往体健。查体:体温37.6℃,心率83次/分,呼吸20次/分,血压117/64mmHg。神志清,精神可,口唇无发绀;双肺呼吸音粗,可闻及广泛干、湿性啰音,以干啰音为主;心率83次/分,律齐,各瓣膜听诊区未闻及病理性杂音;腹软,无压痛及反跳痛,肠鸣音3次/分,双下肢无水肿。血常规检查:白细胞计数26.32×109/L,中性粒细胞0.846,血红蛋白117g/L,血小板计数1911×109/L;C反应蛋白119.05mg/L。尿常规检查:隐血2(+),蛋白1(+)。痰培养:曲霉菌属,请排除污染。生化全套检查:白蛋白19.6g/L,谷丙转氨酶24.2U/L,谷草转氨酶25.8U/L,γ-谷氨酰基转移酶91.4U/L;尿素氮13.00mmol/L(2.14~7.14mmol/L),肌酐166.8μmol/L(31~132μmol/L);血钾5.6mmol/L。肺部CT见图178~图185。

- 多项选择题1.初步考虑患者的诊断可能是( )
A、侵袭性肺曲霉菌病
B、肺炎
C、肺结核
D、变应性支气管肺曲菌病变应性支气管肺曲霉病(ABPA)
E、变应性肉芽肿性血管炎
F、Wegener肉芽肿
G、支气管扩张并感染
关注下方微信公众号,搜题查看答案

- 多项选择题2.应对患者采取下列哪些处理措施( )
A、抗细菌治疗
B、应用伏立康唑抗曲霉菌治疗
C、痰病原学检查:包括痰培养、痰找抗酸杆菌等
D、纤维支气管镜检:进行病理及病原学检查
E、血清抗核抗体(ANA)、抗可溶性抗原(ENA)酶谱、抗中性粒细胞胞质抗体(ANCA)等检查
F、GM试验、血清总IGE、曲霉菌特异性抗原、抗体检查
G、结核感染T细胞斑点试验(TB-Spot)、结核菌素试验(PPD)
关注下方微信公众号,搜题查看答案

- 多项选择题3.[提示]患者纤维支气管镜检可见气管黏膜充血伴脓性分泌物,分泌物培养未发现曲霉菌及其他病原菌包括抗酸杆菌。黏膜活检病理检查: 增生的纤维组织呈慢性炎性改变,内见小灶增生的复层鳞状上皮; 抗酸染色(-)、PAS染色(-)。支气管灌洗液培养:未见曲霉菌生长, 大肠埃希菌(+),超广谱β-内酰胺酶(ESBL)阳性。免疫指标检测: ANA(+);核型1滴度1: 320,核型2滴度1: 100,抗干燥综合征抗体(SSA)阳性(+++)。胞质型ANCA(C-AN-CA)阳性。蛋白酶3型ANCA(PR3-ANCA)阳性(+++)。血清总IgE正常。纤维支气管镜检见图186、图187。目前该患者诊断为( )

A、Wegener肉芽肿
B、Wegener肉芽肿并感染
C、侵袭性肺曲霉病
D、支气管扩张并感染
E、ABPA
F、变应性肉芽肿性血管炎
G、显微镜下多血管炎
关注下方微信公众号,搜题查看答案

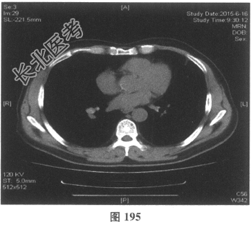
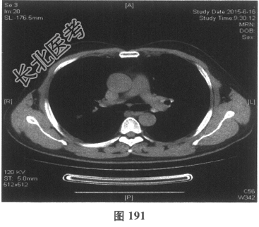
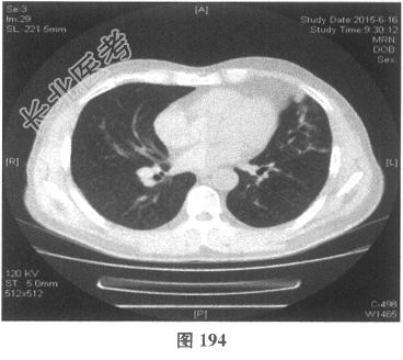
- 多项选择题4.[提示]患者应用多种抗生素治疗(第三代头孢菌素、青霉素加酶抑制剂)包括抗曲霉菌治疗无效,加用甲泼尼龙40mg静脉滴注病情好转。肺部CT检查显示病变明显改善。尿常规检查正常, 肾功能检测正常。复查肺部CT(图188~图195):示病变较前好转。Wegener肉芽肿的主要临床表现是( )

A、可以急性起病,往往有呼吸道感染表现,易误诊为呼吸道感染
B、典型三联征:上呼吸道、肺和肾脏病变
C、肺部CT常见肺内多发团块状影,常见空洞
D、上呼吸道也常为首发症状
E、可出现急性肾衰
F、P-ANCA常为(+)
G、C-ANCA常为(+)
关注下方微信公众号,搜题查看答案

热门试题
- 结核分枝杆菌D菌群的特点是A、不繁殖B、
- 可引起COPD急性加重的因素有A、吸烟B
- 1、该病人出现了下列哪种情况 (
- IPF的确诊标准一中,除有外科肺活检显示
- 下述对于呼吸衰竭说法正确的是A、动脉血氧
- 1、对本例患者强调低流量吸氧是为了避免
- 气胸对循环系统的影响包括A、心肌收缩力降
- 心律失常的治疗组合中,下列哪几项是正确的
- 药物可导致的肺部变化有A、间质性肺炎B、
- 1、根据病情,推测其最可能的病原体是2、
- 1、下列哪种药物可长期使用,并预防夜间发
- 在不能鉴别急性左心功能不全与支气管哮喘发
- 下列哪些是支气管扩张的病因A、支气管-肺
- 1、该病例的诊断首先考虑为2、为明确诊断
- 1、结合病史,该患者需要考虑的疾病有(
- 1、该患者最可能的诊断为2、急诊处理应采
- 1、提问1:对于该患者的问诊应围绕2、提
- 与慢性肺心病肺动脉高压的形成有关的因素是
- 1、该患者治疗中需加用A、红霉素B、甲硝
- 关于流感的表述下列哪些是正确的( )