试题详情
- [材料题] 患者女性,38岁,有鼻窦炎病史,每年感冒3或4次,既往体健。就诊1周前感冒后出现咳嗽、咳痰,痰为黄脓痰,伴有流脓涕,头痛、高热,体温39.5℃,遂来就诊。查体:体温39.5℃,神清,气稍促,两肺可闻及湿啰音及少量干啰音,心、腹无殊,双下肢无水肿。门诊胸部X线片:两肺多发小结节影。血常规检查:白细胞计数12.0×109/L,中性粒细胞0.802。
- 多项选择题1.结合病史,该患者需要考虑的疾病有( )
A、支气管扩张症
B、弥漫性泛细支气管炎
C、肺结核
D、肺癌
E、支气管哮喘
F、慢性阻塞性肺病
G、大叶性肺炎
H、结节病
关注下方微信公众号,搜题查看答案

- 多项选择题2.[提示]该患者于门诊给予口服头孢克洛3天,体温不退, 咳嗽加重,痰不易咳出, 并出现活动后气促,再次就诊, 查肺功能用力肺活量(FVC)2.65L,占预计值88.7%; 第1秒用力呼气容积(FEV1)2.02L,占预计值69%; FEV1/FVC78%;肺一氧化碳弥散量(DL
)占预计值的82%。为明确诊断, 需进一步完善下列哪些检查( ) A、血气分析
B、胸部CT
C、痰细菌培养
D、鼻窦CT
E、痰找结核分枝杆菌
F、痰真菌培养
G、冷凝集试验
H、血SACE
I、血肿瘤标志物检测
J、一氧化氮呼气试验
关注下方微信公众号,搜题查看答案

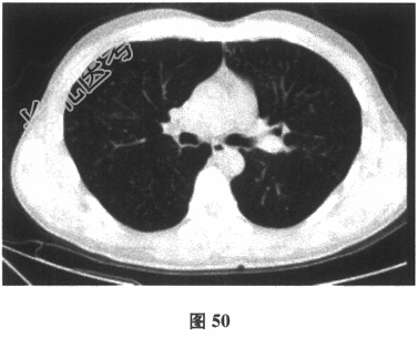
- 多项选择题3.[提示]患者行胸部CT(图50)、血气分析,提示轻度低氧血症, 冷凝集试验1:16阳性, 痰培养铜绿假单胞菌,考虑诊断为弥漫性泛细支气管炎。根据目前的诊断, 该患者最适合的治疗方案是( )

A、吸氧
B、应用大环内酯类药物
C、静脉应用糖皮质激素
D、吸入支气管舒张剂
E、静脉应用头孢他啶
F、无创呼吸机辅助通气
G、应用免疫抑制剂
H、应用止咳化痰药物
关注下方微信公众号,搜题查看答案

- 多项选择题4.[提示]患者经过上述综合治疗,症状明显改善, 咳嗽少,体温恢复正常。查体: 两肺呼吸音粗,可闻及少许湿啰音, 复查血气分析正常,血常规检查正常。针对该患者, 需如何预防疾病复发( )
A、预防感冒,增强体质
B、体位排痰
C、长期口服小剂量皮质激素
D、长期吸入支气管舒张剂
E、长期口服大环内酯类
F、长期低流量吸氧
G、手术治疗鼻窦炎
关注下方微信公众号,搜题查看答案

热门试题
- 急性血行播散型肺结核X线特点是A、早期(
- 根据病因和发病机制、贫血的分类下列哪项不
- 结核分枝杆菌D菌群的特点是A、不繁殖B、
- 1、确诊的首选检查方法是( )A、血
- 下述哪组可见于肺炎球菌肺炎患者A、口唇单
- 1、根据上述临床表现需完善下列哪些检查A
- 1、该患者初步诊断哪个疾病( )2、
- 早期诊断CMV肺炎的实验室检查方法有A、
- 关于慢性肾衰伴发心脏扩大的原因,下列哪项
- 慢性支气管炎的病因包括A、吸烟B、感染C
- 结核菌素试验结果硬结直径在10mm以内,
- 哮喘发作时常见的体征是A、咳出粉红色泡沫
- 1、以下检查结果可能与诊断不符的是 (
- 肺血栓栓塞症抗凝治疗药物不包括A、肝素B
- 1、提问1:下列关于咳嗽、气短的描述,正
- 中枢性睡眠呼吸暂停综合征会出现A、呼吸暂
- 1、给患者的治疗建议是( )2、按以
- 肺朗格汉斯细胞组织细胞增生症的临床特征常
- 属于伤寒杆菌抗原的是A、“甲”鞭毛抗原B
- 肺不发育,下列叙述中哪几项符合( )