试题详情
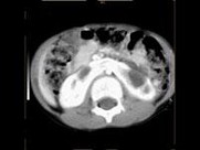
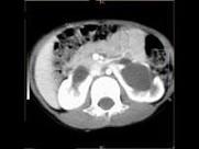
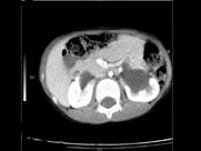
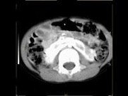
- 多项选择题女,6个月, CT扫描如图所示,下列说法正确的是 ( )




A、双侧肾盂积水
B、双侧肾门朝向前内方
C、双肾下极融合
D、考虑为异位肾
E、考虑为马蹄肾
关注下方微信公众号,搜题查看答案

热门试题
- 男性,17岁。根据图像所示, 最可能的诊
- 垂体型艾迪生病最常见的致病原因为 ( )
- 肾先天性发育异常包括 ( )A、肾数目异
- 当肾盂积水时,静脉肾盂造影的表现为 (
- 男,53岁, 无痛性血尿2个月余,CT扫
- 肾上腺双侧性肿块,常见于A、肾上腺转移瘤
- 关于"子宫输卵管造影"价值,下列观点哪些
- 肾周筋膜及肾周间隙结构的异常改变对下列哪
- 下列哪些是尿路梗阻的X线征象A、肾脏增大
- 在逆行性尿路造影检查中,可出现哪些肾脏回
- 超声检查肾脏时通常取什么体位A、站立B、
- 关于“肾盂癌”,下列要点哪些错误 (
- 1、应该首先考虑到哪些疾病的可能(
- 关于肾上腺转移癌的描述,错误的是A、MR
- 1、本例最可能的诊断为2、关于该病CT表
- 1、最可能的初步诊断为2、首选影像学检查
- 1、最可能的初步诊断为2、该病在妇科的首
- 女,6个月, CT扫描如图所示,下列说法
- 男性,65岁。左侧腰背部胀痛伴无痛性全程
- 在肾上腺疾病影像学检查过程中,CT检查有