试题详情
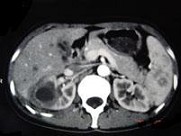
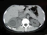
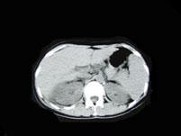
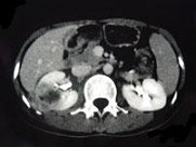
- 多项选择题女,33岁, 右肋腹痛7天,尿检可见大量的脓细胞, CT平扫+增强如图所示,下列说法正确的是 ( )




A、右肾体积增大,其内可见类圆形低密度病灶
B、增强扫描可见该病灶不均匀强化,其内有无强化的坏死灶
C、右肾病灶边界模糊不清
D、考虑为右肾囊肿合并感染
E、考虑为右肾脓肿
关注下方微信公众号,搜题查看答案

热门试题
- 女,33岁, 右肋腹痛7天,尿检可见大量
- 1、患者病灶位于下列哪一部位( )A
- 在泌尿系统影像学检查中,尿路造影是常用的
- 正常肾脏SE序列T₁WI和T₂WI检查时
- 垂体型艾迪生病最常见的致病原因为 ( )
- 关于肾上腺转移癌的描述,错误的是A、MR
- 男,55岁, 尿频,尿痛伴低热乏力1月。
- 1、最可能的诊断是A、前列腺良性增生B、
- 1、根据症状分析,应做哪些检查A、X线B
- 1、选择影像检查方法前,应先了解哪些临床
- 1、首先应考虑的诊断为 ( )2、首选检
- 男,37岁, 阵发性高血压1月余,结合所
- 关于女性正常盆腔的描述,正确的是A、耻骨
- 关于子宫肌瘤的MRI检查,描述正确的是A
- 男,38岁, 进行性肾衰竭,有淋巴瘤病史
- 关于卵巢Krukenberg瘤的描述,正
- 关于腹膜后肿瘤的CT表现,正确的描述是(
- 关于前列腺的说法正确的有A、后方借直肠膀
- 1、根据症状分析,应做哪些检查2、患者做
- 1、患者病变位于( )A、睾丸B、前