试题详情
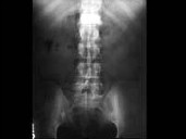
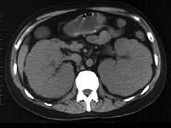
- 多项选择题男,38岁, 进行性肾衰竭,有淋巴瘤病史, 行腹平片、CT及MRI检查如图所示,下列说法正确的是 ( )



A、CT示双肾对称性增大
B、MRIT
WI示L
椎体可见局灶性低信号改变C、考虑为肾淋巴瘤,且淋巴瘤累及L
椎体D、考虑为多囊肾
E、考虑为肾炎
关注下方微信公众号,搜题查看答案

热门试题
- 男,59岁, 反复尿频尿急尿痛4年余,尿
- 男,53岁, 无痛性血尿2个月余,CT扫
- “肾血管平滑肌脂肪瘤”行CT平扫,可以表
- 肾阳性结石应与下列哪些病变相鉴别 (
- 下列哪些为肾上腺功能亢进性病变A、库欣综
- 关于肾上腺转移瘤,正确的说法有哪些A、单
- 下列关于肾上腺良、恶性肿瘤鉴别点的描述,
- 1、首先诊断2、关于该病的描述,正确的是
- 关于"卵巢滤泡囊肿",下列描述正确的有A
- 下列有关前列腺癌的临床分期,描述正确的是
- 肾动脉的肾外分支有 ( )A、膈下动脉B
- 正常肾上腺的MRI表现A、位于肾筋膜囊内
- 关于"子宫输卵管造影"价值,下列观点哪些
- 肾移植术前CT检查的观察要点是( )
- 下列哪些是“成人型多囊肾”的特点 (
- 1、本例最可能的诊断为2、关于该病CT表
- 肾移植术后的并发症为 ( )A、血管系统
- 化学性栓塞术常用于哪些中晚期恶性肿瘤的姑
- 膀胱癌X线膀胱造影表现是A、突入腔内的菜
- 肾髓质钙化可见于下列哪种情况 (