试题详情
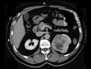
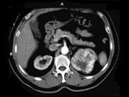
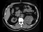
- 多项选择题男性,65岁。左侧腰背部胀痛伴无痛性全程血尿3个月余, CT平扫及增强检查如图所示,下列说法正确的是

A、平扫时见左肾上极有一软组织肿块影,其边界较清楚
B、增强扫描肾皮质期可见肿块明显强化,其内亦有无强化区
C、增强扫描肾实质期可见肿块强化迅速下降,但密度比平扫时仍要高
D、考虑为左侧肾癌
E、考虑为左侧肾错构瘤
关注下方微信公众号,搜题查看答案

热门试题
- 卵巢癌增强MRI扫描,下列描述正确的是A
- 1、首先应该诊断为2、下列检查意义不大的
- 下列关于肾上腺良、恶性肿瘤鉴别点的描述,
- 前列腺癌CT检查的正确描述是A、前列腺内
- 关于急性肾盂肾炎的影像学检查,下列哪些说
- 1、该患者最适合的影像学检查是2、MRI
- 1、选择影像检查方法前,应先了解患者哪些
- 关于膀胱癌的诊断,下列哪些说法正确A、膀
- 女性,35岁。反复发作的尿路感染, 结合
- 1、最可能的诊断是2、为明确病变的定位及
- 阴内动脉成形术的适应证包括A、完全性阳痿
- 肾盂癌CT表现,错误的是A、较小的肾盂癌
- 1、最可能的诊断是A、前列腺良性增生B、
- 关于子宫肌瘤的MRI检查,描述正确的是A
- 肾囊肿常用的放射诊断方法是 ( )A、腹
- 女,28岁, 阴道有异常液体流下,CT和
- 肾的异常声像图表现中,哪些是正确的A、肾
- 膀胱癌的CT表现,哪些是正确的A、易累及
- 常为一侧肾影增大的疾病 ( )A、肾静脉
- 卵巢囊性肿瘤哪些征象提示恶性可能A、肿瘤