试题详情
- [材料题] 患者男性,45岁,低热、乏力、消瘦半年,左上腹痛1个月。
- 多项选择题1.该患者应首选下列哪项检查( )
A、CT
B、B超
C、结肠镜
D、PET-CT
E、MRI
F、腹腔镜探查
关注下方微信公众号,搜题查看答案

- 多项选择题2.[提示]患者行B超检查,发现脾脏占位。下一步最佳的诊疗策略是( )
A、MRI
B、经皮穿刺活检
C、PET-CT
D、定期随访
E、直接手术切除
F、CT
关注下方微信公众号,搜题查看答案

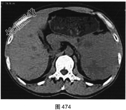
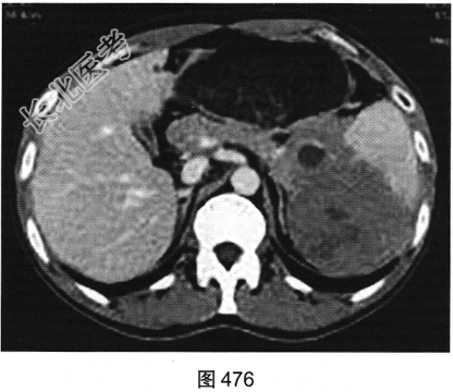
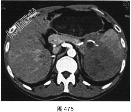
- 多项选择题3.[提示]患者行CT动态增强扫描,如图474~图476所示。对CT图像描述正确的是( )


A、脾血管被病灶侵犯
B、CT平扫呈不均匀低密度
C、胰腺被病灶侵犯
D、病灶门脉期轻度强化
E、病灶边界清晰,具有包膜
F、病灶动脉期无强化
关注下方微信公众号,搜题查看答案

- 多项选择题4.考虑患者为下列哪种疾病( )
A、脾血管肉瘤
B、脾结核
C、脾淋巴管瘤
D、脾淋巴瘤
E、脾血管瘤
F、脾脓肿
关注下方微信公众号,搜题查看答案

- 多项选择题5.关于该疾病的临床病理特征描述正确的是( )
A、约2/3伴有淋巴结增大
B、大部分患者无症状
C、男性稍多于女性
D、发病年龄为20~40岁
E、少数患者可出现脾破裂
F、少数患者可有脾出血
关注下方微信公众号,搜题查看答案

- 多项选择题6.对该病MRI表现描述正确的是( )
A、T2WI呈显著高信号
B、影像学表现与病理类型相关
C、增强后轻度强化
D、易出现血行转移
E、可以仅表现为脾脏增大
F、可以出现“地图样”强化
G、T1WI呈低信号
关注下方微信公众号,搜题查看答案

热门试题
- 1、患者入院后,初步需要完成的检查包括(
- 肝腺瘤CT表现中,可见如下哪些征象 (
- 有关肝脂肪变性的描述正确的是A、肝硬化脂
- 1、该患者应首先考虑A、肠梗阻B、肠扭转
- 1、该患者可能诊断为( )A、胰腺炎
- 克罗恩(Crohn)病后期的肠外表现有哪
- 哪种类型的肝腺瘤与肝细胞癌的强化方式相仿
- 胃溃疡特殊表现包括 ( )A、胃窦部溃疡
- 关于脾脏错构瘤,正确的描述是( )A
- 1、MRI平扫图中可见哪些影像学发现(
- 1、食管异物多见于下列哪些部位( )
- 肝脓肿的发病原因包括A、胆道炎症所致B、
- HCC的介入方式有 ( )A、TAEB、
- 早期肝癌应与哪些疾病鉴别A、血管瘤B、肝
- 1、根据以上临床及影像表现,以下疾病的可
- 在正常腹平片上,不能显影的软组织影是
- 急腹症患者CT检查异常表现有 ( )A、
- “肝内胆管积气”见于下列哪些疾病 (
- 细菌性肝脓肿的主要感染途径包括A、胆道B
- 以下关于脂肪肝病因正确的是 ( )A、糖