试题详情
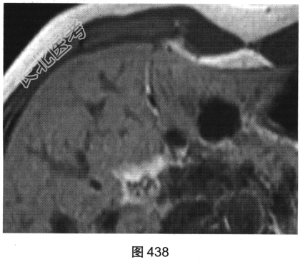
- [材料题] 患者女性,44岁,HBV感染史6年。查体:腹平软,右上腹无压痛,无反跳痛,肝脾肋下未及,Murphy征阴性,肝浊音界存在,肝上界位于右锁骨中线第五肋间,肝区无叩击痛,移动性浊音阴性。实验室检查:肝功能未见异常,AFP(一)。患者MRI平扫如图438、图439所示。


- 多项选择题1.MRI平扫图中可见哪些影像学发现( )
A、T1WI上呈均匀低信号
B、T1WI上呈均匀等信号
C、平扫肝左叶可见一类圆形病变
D、病变与周围分界欠清晰
E、T2WI上呈均匀高信号
F、T2WI上呈均匀低信号
关注下方微信公众号,搜题查看答案

- 多项选择题2.结合患者目前的临床及影像学资料,需要考虑的诊断有( )
A、肝细胞癌
B、肝海绵状血管瘤
C、肝脓肿
D、肝腺瘤
E、胆管细胞癌
F、肝囊肿
关注下方微信公众号,搜题查看答案

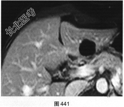
- 多项选择题3.[提示]增强扫描后的病变见图440、图441。此时考虑的诊断为( )


A、肝细胞癌
B、胆管细胞癌
C、肝囊肿
D、肝腺瘤
E、肝脓肿
F、肝海绵状血管瘤
关注下方微信公众号,搜题查看答案

- 多项选择题4.关于肝囊肿的描述以下哪项正确( )
A、囊壁因菲薄而在影像上难以显示
B、可单发可多发
C、一般与胆管结构相通
D、并发感染时囊壁可强化
E、一般不与胆管结构相通
F、囊壁衬以单层胆管上皮细胞
关注下方微信公众号,搜题查看答案

热门试题
- 食管裂孔疝的间接X线征象有 ( )A、食
- 肝脓肿X线平片检查所见有哪些A、膈肌升高
- 十二指肠球后溃疡的特点是 ( )A、常为
- 下列哪些是脾梗死的CT表现A、尖端朝向脾
- 急性腹痛.呕吐,腹部有肠形及气过水声,作
- 下列阑尾炎病理形态与临床分型正确的是
- 肝脓肿的发病原因包括A、胆道炎症所致B、
- 1、根据以上临床资料,最需要鉴别诊断的是
- 以下关于脂肪肝病因正确的是 ( )A、糖
- 1、此病主要的病因可能为2、此病最初如何
- 关于“ERCP”的禁忌证,下列正确的是A
- 溃疡型胃癌的X线征象包括A、僵硬B、放射
- 1、根据平扫下列疾病可能性最小的是2、对
- 男性,50岁,有脂肪肝病史,CT发现稍高
- 关于肝脏海绵状血管瘤,下列说法正确的是A
- 早期食管癌分为 ( )A、硬化型B、平坦
- 下面哪些描述是肝海绵状血管瘤的声像图表现
- 下列胃溃疡征象,提示溃疡为活动性的有(
- 下列关于胃癌的描述,正确的是A、胃癌好发
- 1、初步考虑诊断为( )A、肾脏转移