试题详情
- [材料题] 患者女性,27岁,已婚。因“咳嗽、呕吐、发热”1个月,于外院腹部超声发现肝脏右叶5cm肿块转入本院。患者无其他既往病史,无饮酒及吸烟史。
- 多项选择题1.患者入院后,初步需要完成的检查包括( )
A、CT平扫+增强
B、AFP
C、穿刺活检
D、乙肝两对半
E、癌胚抗原
F、DSA
关注下方微信公众号,搜题查看答案

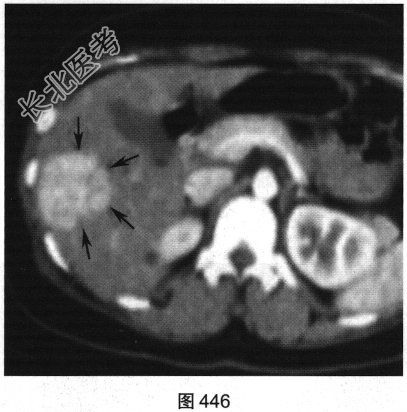
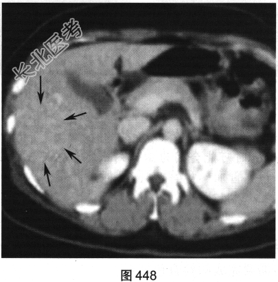
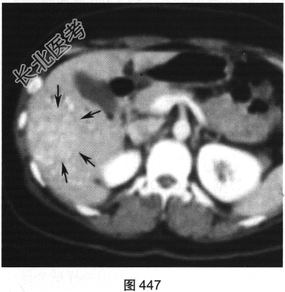
- 多项选择题2.[提示]患者行CT三期增强扫描,如图446~图448所示。对患者CT三期增强扫描图像描述正确的是( )


A、动脉期病灶明显强化
B、门脉期病灶无强化
C、病灶位于肝S5/6,边界清
D、延迟期病灶呈等密度
E、病灶为富血供肿瘤
F、门静脉期病灶为低密度
关注下方微信公众号,搜题查看答案

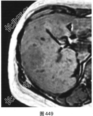
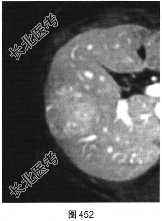
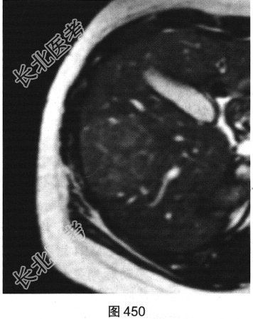
- 多项选择题3.[提示]随后患者接受上腹部MRI检查,如图449~图452所示。对患者MRI检查图像描述不正确的是( )



A、纤维瘢痕呈延迟强化
B、门静脉期病灶轻度强化
C、T1WI示病灶为稍低信号
D、动脉期病灶明显强化
E、T2WI示病灶为稍高信号
F、病灶内无纤维瘢痕
关注下方微信公众号,搜题查看答案

- 多项选择题4.患者实验室检查及肿瘤指标均为阴性,结合CT及MRI检查, 最合理的诊断是( )
A、海绵状血管瘤
B、淋巴瘤
C、原发性肝细胞癌
D、原发性胆管细胞癌
E、转移瘤
F、局灶性结节性增生
关注下方微信公众号,搜题查看答案

热门试题
- 关于肝脏囊腺瘤,下列说法不正确的是A、常
- 1、结合临床及影像表现应该诊断为2、该疾
- 慢性胰腺炎MRI表现包括A、胰腺肿大B、
- 下列哪种疾病,会出现“食管狭窄”表现
- 胃肠道支架置入术的并发症有 ( )A、粘
- 下列哪些疾病不能使腹脂线肿胀的有 (
- 肝脓肿X线平片检查所见有哪些A、膈肌升高
- 下列关于肝血管瘤的描述,正确的是A、女性
- 溃疡型肠结核的X线表现有 ( )A、肠管
- 下列哪些是胰腺MR扫描常规序列( )
- 下列肝脏病变的MRI特征描述,正确的是A
- 肝癌门脉癌栓的CT征象可表现为 ( )A
- 关于淋巴结转移癌,下列描述正确的是A、T
- 关于门静脉海绵样变,正确的描述是(
- 1、超声的表现提示患者存在(提示超声示胆
- 1、首先诊断2、对该病描述正确的是
- 有关胆道系统疾病的检查方法有 ( )A、
- 腹部X线摄影时,右膈下见到气体影的有 (
- 关于胰腺内分泌肿瘤,正确的描述是(
- Freeny的肝血管瘤CT诊断三条标准为