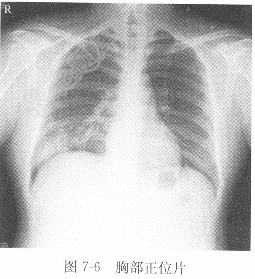
试题详情单项选择题男性,25岁,发热1周,X线影像见图7-6,X线诊断为( )。A、右下肺结核B、右下肺癌C、右侧胸腔积液D、右下肺炎正确答案:关注下方微信公众号,搜题查看答案热门试题男性,25岁,发热1周,X线影像见图7-脾外伤血清肌酐(Cr)测定题见图6-3。 动脉血氧饱和度(SaO2)房性期前收缩检查肾结石正常胸部正位片剩余碱(BE)血清甘油三酯(TG)阵发性室上性心动过速检查题见图6-2。 女性,68岁,胸痛1月,X线影像见图7-血常规女性,30岁,心悸、头晕2年,X线图像见肢体骨折正、侧位片血清碱性磷酸酶(ALP)尿常规男性,40岁,咳嗽1周,X线胸片见图7-肠结核