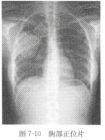
试题详情单项选择题女性,68岁,胸痛1月,X线影像见图7-10,X线诊断为( )。A、右上肺癌B、右上肺结核C、右上肺脓肿D、右上肺炎正确答案:关注下方微信公众号,搜题查看答案热门试题心室颤动上、下消化道造影脑梗死窦性心动过速检查女性,28岁,胸痛半月,X线图像见图7-γ-谷氨酰转移酶(GGT)脑脊液常规血清钠参考值血清无机磷血清铁测定尿常规肺炎血清总蛋白、白蛋白(A)、球蛋白(G)及血清总钙肌酸激酶同工酶急性胰腺炎如何判断房性期前收缩代偿间歇是否完全?题见图6-10。 肾癌脑出血