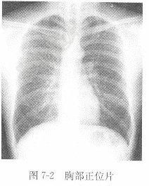
试题详情单项选择题男性,40岁,咳嗽1周,X线胸片见图7-2,X线诊断为( )。A、气胸B、肺癌C、肺结核D、正常正确答案:关注下方微信公众号,搜题查看答案热门试题题见图6-3。 心电图的应用范围肾囊肿胃、十二指肠溃疡硬膜下血肿如何判断房性期前收缩代偿间歇是否完全?阵发性室性心动过速题见图6-2。 活化部分凝血活酶时间(AFTT)心房颤动题见图6-14。 甲种胎儿球蛋白(AFP)阵发性室上性心动过速题见图6-7、图6-8。 血液酸碱度(pH)γ-谷氨酰转移酶(GGT)肾癌房性期前收缩伴室内差异性传导与室性期前收动脉血氧分压(PaO2)原发性肝癌