试题详情
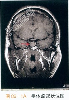
- [材料题] 患者,女性,50岁,因“手足进行性肥大10年余,咽部哽噎感1年半”入院。患者10年前无明显诱因出现双手中指指间关节肿大伴屈曲疼痛,腰痛明显,无发热、晨僵、口腔溃疡及光过敏现象,遂于当地医院就诊,行风湿免疫学检查未见异常(具体报告未见),未予治疗。7年前出现双手指间关节及双足掌趾关节增大、增粗,伴双手、双足增大、肥厚,呈进行性加重(1年内鞋码由36增大至39码),自觉多汗、怕热、易倦,无头疼,无视物模糊及视野缺如,无泌乳,无多尿、多饮、多食,无消瘦,无胸闷、胸痛,多次于当地医院就诊,3次查风湿免疫指标未见异常(具体报告未见),未予处理。查血尿酸水平,未见异常(具体报告未见)。1年半前无明显诱因出现咽部哽噎感,自觉上腭饱满、唇舌增厚、吐字不清,伴呼吸不畅,睡眠时症状明显,但可平卧入睡,偶有夜间憋醒,坐位后缓解,情绪激动时偶有胸闷,持续2~3min后自行缓解,无心悸、胸痛、头痛,无吞咽困难、饮水呛咳,无嗜睡,反复就诊于当地耳鼻喉医院,诊断为“鼻窦炎”,给予曲安奈德喷雾剂、头孢氨苄等治疗后,咽部哽噎感无好转。于五官科医院行鼻窦轴位CT平扫。十冠状位重建示:右侧前组筛窦、上颌窦慢性炎症,鼻中隔偏曲,右侧鼻腔低密度软组织影。1年半以前于五官科医院行喉镜检查未见明显异常。1年前再次于五官科医院行喉镜检查示:披裂间区右侧稍突起,左扁桃体囊肿样物。1个月前于我院耳鼻喉科就诊,行咽喉部平扫示:双侧颈部多发结节影,建议行增强CT检查,遂于半个月前行咽喉部增强CT检查示:颈部淋巴结稍大;左侧甲状腺低密度灶;右上颌窦炎。耳鼻喉科医生建议内分泌科就诊,2天前至我院内分泌科就诊,查甲状腺激素水平正常,生长激素:16.8ng/ml,垂体MRI示垂体右侧结节。甲状腺B超检查示:甲状腺多发占位,考虑增生结节;甲状腺弥漫性病变。现为求进一步治疗以“肢端肥大症”收入我科。抽烟史10余年,每日约10支,已戒烟5年,否认饮酒史。育有1女。43岁前月经规律,经量偏多,43岁起出现经期延长,遂于妇产科就诊,查出子宫肌瘤,遂行子宫切除术,术后无月经。体格检查:T37℃,P90次/min,R20次/min,BP140mmHg/90mmHg,Wt68.5kg,Ht162cm。BMI26.10kg/m²,腰围82cm,臀围100cm,腰臀比0.82。神志清晰,全身皮肤无黄染,腹部见一长约10cm手术瘢痕,手指、足趾粗大,手掌及足背宽厚,手指间关节粗大,无肝掌、蜘蛛痣。右侧腹股沟浅表淋巴结可触及一枚肿大约1cm淋巴结,质韧,无压痛。颧骨及下颌骨突出,牙齿稀疏,唇舌厚,眼球无突出。颈软,气管居中,甲状腺未及明显肿大。胸廓无畸形,双肺查体(-)。心前区无隆起,心界不大,HR90次/min,律齐。腹部查体(-)。四肢脊柱无畸形,活动自如,神经系统检查(-)。双下肢无水肿。实验室和影像学检查:我院2次测定的生长激素(GH)水平分别为9.2ng/ml和16.8ng/ml,口服葡萄糖抑制试验示生长激素升高未被抑制(表86-1);肝肾功能及血脂、肌酶:正常;甲状腺激素水平及相关抗体正常;性激素提示绝经期改变,泌乳素正常;肿瘤、心肌标志物均在正常范围;ACTH-皮质醇节律:正常。胸部X线片检查示:两肺未见实质性病变。垂体MRI平扫示:垂体右侧结节(见图86-1)。垂体MRI平扫十增强示:垂体(右叶11mm×8mm)瘤。胸腹部B超检查示:肝脂肪浸润;胆囊胆固醇结晶;甲状腺弥漫性病变,甲状腺双侧叶结节,部分伴钙化,随访;双侧腹股沟淋巴结。经阴道及腹部超声检查示:盆腔未见占位。咽喉部增强CT检查示:颈部淋巴结稍大,左侧甲状腺低密度灶,右上颌窦炎。心超示检查:左房增大伴左室舒张功能减退。肠镜检查:未见明显异常。骨密度检查:正常。膝关节检查:符合退行性改变。患者入院后完善相关检查,行口服葡萄糖抑制试验示生长激素升高未被抑制,垂体MRI示垂体右叶占位。

- 简答题1、该患者的诊断是什么?
关注下方微信公众号,搜题查看答案

- 简答题2、该患者的诊断依据是什么?
关注下方微信公众号,搜题查看答案

- 简答题3、该患者的处理方案是什么?
关注下方微信公众号,搜题查看答案

热门试题
- 1、患者可能的诊断及诊断依据为?2、这种
- 1、患者诊断及诊断依据为?2、需要鉴别的
- 1、初步诊断及诊断依据?2、患者的治疗措
- 1、该患者的诊断及诊断依据是什么?2、患
- 1、该病人应首先考虑什么疾病?2、进一步
- 1、诊断为?2、诊断依据有?3、治疗措施
- 1、该患者初步诊断及诊断依据是什么?2、
- 1、患儿诊断及诊断依据为?2、如需确诊,
- 1、该患者的诊断是什么2、肺栓塞的诊断依
- 1、请问该患者的诊断包括?2、请问对该患
- 1、该患者的诊断是什么?2、诊断依据有哪
- 1、该患者的诊断及诊断依据是什么?2、该
- 1、请问患者可能的诊断是?2、请问应首先
- 1、该患者初步诊断及诊断依据为?2、还需
- 1、请问哪些是鉴别心源性哮喘与支气管哮喘
- 1、该患者的诊断是什么?2、巨幼细胞性贫
- 1、该患者的诊断及诊断依据是什么?2、该
- 1、该病人昏迷的原因是什么?2、如何进行
- 1、该患者可能诊断及诊断依据为?2、为了
- 1、患者诊断为?2、诊断依据有那些?3、