试题详情
- [材料题] 患者,男性,67岁。因"发现血压升高1周"就诊。患者1周前偶测血压升高,最高180/95mmHg,无头晕、头痛,无恶心、呕吐,无面色潮红。至社区医院就诊,给予氨氯地平5mg一天1次降压治疗。今为进一步诊治就诊。 追问病史,患者既往曾自测血压增高(具体不详),因无不适,未到医院进一步诊治。父亲因脑出血已故,有高血压史,母亲因胃癌已故,有糖尿病史。吸烟40余年,每天30支,饮酒史30余年,白酒每天3两。查体:BP170/90mmHg,HR78次/分,身高170cm,体重78kg,腹围92cm。神清,心尖呈抬举性搏动并向左下移位,主动脉瓣第一听诊区闻及收缩早期喷射音,A2亢进,肺部、腹部无阳性体征,双下肢无水肿,神经系统无阳性体征。 入院后常规检查,嘱低盐低脂饮食,并在氨氯地平基础上合用其他降压药物治疗。
- 简答题1、入院后应进行的检查包括?
关注下方微信公众号,搜题查看答案

- 简答题2、[提示]实验室检查:糖化血红蛋白6.4%。空腹血糖7.09mmol/L。 肾功能:肌酐105.4umol/l。尿素氮6.90mmol/L,尿酸484.00μmol/L,eGFR68ml/(min·1.73m2)。 血脂:甘油三酯3.61mmol/L,总胆固醇6.44mmol/L,低密度脂蛋白4.20mmol/L。 尿常规:酸碱度pH6,尿蛋白(PRO)300mg/dl,尿糖30mg/dl,白细胞(镜检)0~1/HP,红细胞(镜检)0~1/HP。 24小时尿量1600ml,24小时尿总蛋白376mg/24h,24小时尿微量白蛋白507mg/24h。 糖耐量试验(OGTT):空腹血糖7.83mmol/L,半小时血糖11.57mmol/L,1小时血糖15.47mmol/L,2小时血糖16.88mmol/L,3小时血糖11.22mmol/L。 心电图:心率73次/分,窦性心律,ST-T改变,Ⅰ导联R波电压为1.5mV。 超声心动图:左室内径增大,左室壁增厚,主动脉根部增宽,左室弛张功能减退,LVEF65%。 头颅CT平扫:两侧基底节区腔隙性缺血灶。如果怀疑患者为继发性高血压,可以完善的检查项目有?
关注下方微信公众号,搜题查看答案

- 简答题3、患者的临床诊断为?
关注下方微信公众号,搜题查看答案

- 简答题4、患者首选加用哪种降压药物进一步治疗
关注下方微信公众号,搜题查看答案

- 简答题5、[提示]患者继续降压药物治疗,在半年随访中,血压稳定在(140~150)/(70~80)mmHg。此后自行停用降压药物。1年后的某天清晨,患者在家中突感剧烈头痛,恶心、呕吐胃内容物,左侧肢体不能活动,急诊发现BP190/105mmHg,意识清楚,双眼向右侧凝视,左侧肢体肌力0级,肌张力消失,针刺感消失,左侧巴宾斯基征阳性。此时首选检查为
关注下方微信公众号,搜题查看答案

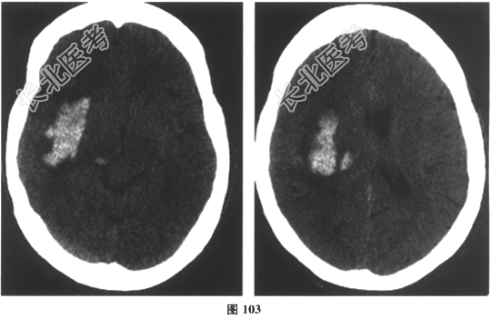
- 简答题6、[提示]急查颅脑CT,结果如图103所示。
该患者诊断为?
关注下方微信公众号,搜题查看答案

热门试题
- 1、其超声心动图表现有?2、法洛四联症的
- 1、腹主动脉瘤的超声特征有哪些?2、腹主
- 1、其超声心动图的表现可能有?2、属于继
- 1、根据上述病例,请解释心功能分级的意义
- 1、患者的超声诊断及依据是什么?2、患者
- 1、胃内容物通过受阻可能是什么?2、还需
- 1、该患者入院后应考虑的可能诊断有?2、
- 1、该患者初步诊断的结果是什么?2、该患
- 1、该患者初步诊断为?2、诊断依据是什么
- 1、最可能的诊断是?2、该病需要与哪些疾
- 1、导管内乳头状瘤的主要临床表现是什么?
- 1、睾丸炎及附睾炎的典型声像图表现有哪些
- 1、患者的诊断及依据是什么?2、鉴别甲状
- 1、该患者的诊断是什么?2、患者的治疗措
- 1、患者的诊断及依据是什么?2、鉴别诊断
- 1、请解释肺动脉高压的定义及其分类。2、
- 1、患者的诊断及依据是什么?2、肝局灶性
- 1、可能的阻塞病因是什么?2、患者可能的
- 1、若拟诊为胰腺假性囊肿,则诊断的依据包
- 1、该患者的超声诊断是什么?2、为进一步