试题详情
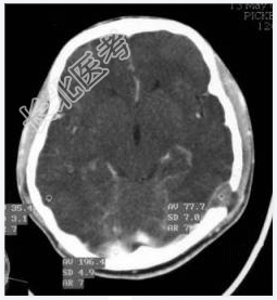
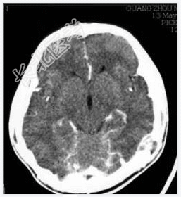
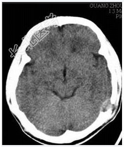
- [材料题] 病历摘要:男性,20岁。
主诉:发现头皮软组织肿物3个月。
现病史:三月前发现左枕部软组织轻微突起伴隐痛,到当地医院检查发现左枕部颅骨骨质缺损,未作具体治疗,现觉头皮肿物增大,时伴有气促、头痛。
专科检查:左颞枕部软组织略膨起,较软,各项病理反射(-)。

- 简答题1、诊断及诊断依据是什么?
关注下方微信公众号,搜题查看答案

- 简答题2、鉴别诊断有哪些?
关注下方微信公众号,搜题查看答案

热门试题
- 1、请简述该病例的诊断要点是什么?2、鉴
- 1、患者的诊断及依据是什么?2、鉴别诊断
- 1、为什么选择颈椎张口位来观察寰枢椎?2
- 1、详细阐述纤维结构不良的鉴别诊断。2、
- 1、诊断要点是什么?2、鉴别诊断是什么?
- 1、何为Waldeyer环?请描述它与颈
- 1、该患者的诊断及依据是什么?2、影像学
- 1、脑膜瘤的诊断依据是什么?2、脑膜瘤的
- 1、血管母细胞瘤的影像学诊断有哪些?2、
- 1、影像诊断思路是什么?2、诊断要点与鉴
- 1、诊断及依据是什么?2、鉴别诊断有哪些
- 1、肝血管瘤的鉴别诊断有哪些?2、肝血管
- 1、影像诊断思路是什么?2、诊断要点与鉴
- 1、患者的诊断及依据是什么?2、鉴别诊断
- 1、患者的诊断及依据是什么?2、肺结节病
- 1、影像诊断思路是什么?2、鉴别诊断是什
- 1、请简述该病例的诊断要点是什么?2、鉴
- 1、请简述该病例的诊断要点是什么?2、鉴
- 1、胸腔积液的检查方法与选择?2、胸腔积
- 1、影像诊断思路是什么?2、诊断要点与鉴