试题详情
- [材料题] 女性,55岁,鼻塞、头痛1周,无任何阳性体征。
- 简答题1、根据上述资料,应该做哪些检查?
关注下方微信公众号,搜题查看答案

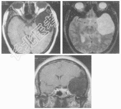
- 简答题2、患者行MRI检查图像如下:首先考虑患者的诊断及依据是什么?

关注下方微信公众号,搜题查看答案

- 简答题3、应该与哪些疾病鉴别?
关注下方微信公众号,搜题查看答案

- 简答题4、MRI与CT相比,MRI显示本病的优势为?
关注下方微信公众号,搜题查看答案

热门试题
- 1、该患者的诊断及依据是什么?2、其影像
- 1、诊断要点是什么?2、鉴别诊断是什么?
- 1、肝癌破裂出血的诊治原则及注意事项?2
- 1、患者的诊断及依据是什么?2、鉴别诊断
- 1、患者的诊断及依据是什么?2、鉴别诊断
- 1、信号由180°射频脉冲产生的是什么?
- 1、请简述该病例的诊断要点是什么?2、鉴
- 1、患者的诊断及依据是什么?2、十二指肠
- 1、诊断线索是什么?2、诊断要点是什么?
- 1、该患者可能诊断为什么?2、入院后影像
- 1、患者的诊断及依据是什么?2、鉴别诊断
- 1、诊断及依据是什么?2、鉴别诊断有哪些
- 1、患者的诊断及依据是什么?2、鉴别诊断
- 1、胃癌的CT扫描分期有哪几期?2、胃癌
- 1、患者的诊断及依据是什么?2、鉴别诊断
- 1、诊断及依据是什么?2、鉴别诊断有哪些
- 1、诊断及依据是什么?2、鉴别诊断有哪些
- 1、患者的诊断及依据是什么?2、鉴别诊断
- 1、请简述该病例的诊断要点是什么?2、鉴
- 1、患者的诊断及依据是什么?2、鉴别诊断