试题详情
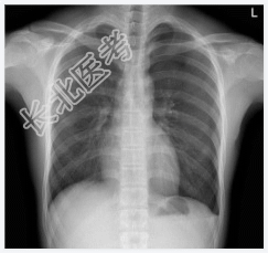
- [材料题] 男性,19岁,突发左胸痛2小时入院。查体.左侧呼吸音减低,深呼吸疼痛加剧,未闻及干湿性啰音。心脏体查无异常。做胸部X光平片检查。

- 简答题1、请问该患儿诊断是什么?
关注下方微信公众号,搜题查看答案

- 简答题2、左侧气胸的常见病因有哪些?
关注下方微信公众号,搜题查看答案

- 简答题3、左侧气胸的典型临床表现是什么?
关注下方微信公众号,搜题查看答案

- 简答题4、左侧气胸的治疗原则及方法有哪些?
关注下方微信公众号,搜题查看答案

热门试题
- 1、请对该患者影像征象进行描述。2、根据
- 1、请问特发性肺间质纤维化临床特点是什么
- 1、最可能的诊断是?2、室间隔缺损临床表
- 1、请问目前患者的诊断主要考虑什么?2、
- 1、前列腺癌临床表现?2、前列腺癌的危险
- 1、请问患者入院后应先选择哪些常规检查?
- 1、结合CR和MR,最可能的诊断是?2、
- 1、请问关于该病变,首选的检查方法是什么
- 1、结直肠癌临床特点是什么?2、如何有效
- 1、影像诊断思路是什么?2、诊断要点与鉴
- 1、该患者最有可能的诊断是?2、表皮样囊
- 1、关于该病变,首选的检查方法是?2、提
- 1、影像诊断思路是什么?2、诊断要点与鉴
- 1、请问最可能的诊断是?2、为进一步确诊
- 1、患者最可能的诊断是?2、[提示]患者
- 1、请问该患者可能的诊断是什么?2、请问
- 1、请问针对该病患最准确的诊断是什么?2
- 1、请问本患者的常规检查应包括哪些?2、
- 1、患者最可能的诊断是?2、提示]患者入
- 1、请问你认为应做哪些检查?2、患者所做