试题详情
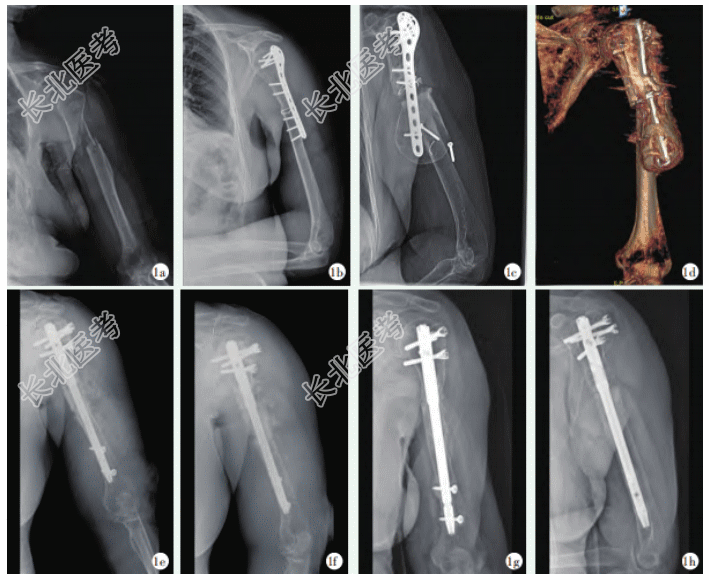
- [材料题] 患者女性,80岁,因“左上臂骨折术后9年,畸形、疼痛活动受限5年”为主诉入院。体格检查:患者左上臂中上段可见向前、向外突出畸形,周围可见多处陈旧性手术瘢痕,无明显渗出,左上肢肌肉萎缩明显,左上肢较右上肢短缩约2cm。左上臂中上段处压痛明显,压痛处可触及8cm×4cm肿物,质地硬,推之不移,未触及骨擦感及异常活动。左桡动脉搏动良好,左手各指血运、皮肤感觉及活动良好,未见垂腕、爪形手、猿手等异常症状,余肢体查体未见明显异常。患者既往因外伤致左肱骨干骨折,术前X线片示骨折类型为12-C型(图1a),在当地医疗机构行左肱骨骨折钢板内固定术+钢丝捆扎术。第1次术后X线片检查提示:左侧肱骨上段骨折内固定术后内固定器松脱、骨髓腔内密度增高(图1b);术后8年复查X线片均提示固定器松脱、骨折远端囊袋状异常密度影进行性增大、骨折断端无愈合倾向(图1c)。术后8年CT三维重建提示:左侧肱骨上段骨折内固定术后,骨折不愈合,金属内固定器下端松脱、左肱骨骨折远端前外侧囊袋状异常密度影(图1d)。患者多年来反复出现左上臂疼痛,左肩关节活动受限,近1年来上述症状再发加重,严重影响日常生活,于2022年8月以左肱骨骨不连收治于本院创伤骨科。结合病史、影像学及查体,符合左肱骨骨折术后骨不连并巨大包壳形成诊断,具备手术治疗指征。
排除禁忌证后行手术治疗。暴露骨折断端,检查骨折处可见断端对位差,骨折端硬化,近侧及远端骨质增生明显,远端形成类似假肱骨头的巨大包壳,内可见大量的大小约为0.3cm×0.3cm的白色圆球状颗粒。用咬骨钳清除断端之间的瘢痕肉芽组织,去除不规则状骨质、远端增生骨质,直至渗血为止,留取白色圆球状颗粒送病理检查;使用骨折复位钳使断端重新对位,开槽扩髓,置入髓内钉固定,远近端各拧入2枚螺钉,被动活动上臂见骨折断端无微动,透视下复位满意后冲洗术口,植入同种异体骨及骨修复材料后关闭切口,术毕(图1e,1f)。术后1年复查X线提示骨折断端对线对位好,骨质密度增高、骨痂形成(图1g,1h)。
- 简答题1、结合该患者情况,分析肱骨骨折术后骨不连并巨大包壳形成的病因有哪些?
关注下方微信公众号,搜题查看答案

- 简答题2、以该患者为例,阐述肱骨骨折术后骨不连并巨大包壳形成的发病机制是怎样的?
关注下方微信公众号,搜题查看答案

- 简答题3、该患者肱骨骨折术后骨不连并巨大包壳形成的临床表现有哪些特点?
关注下方微信公众号,搜题查看答案

- 简答题4、结合该患者,如何诊断肱骨骨折术后骨不连并巨大包壳形成?
关注下方微信公众号,搜题查看答案

- 简答题5、针对该患者,肱骨骨折术后骨不连并巨大包壳形成的治疗方案及要点是什么?
关注下方微信公众号,搜题查看答案

- 简答题6、该患者肱骨骨折术后骨不连并巨大包壳形成治疗后的预后和预防要点有哪些?
关注下方微信公众号,搜题查看答案

热门试题
- 简述中枢性手屈曲痉挛的主要病因?
- 1、结合该患者情况,阐述脊柱硬膜外脂肪增
- 1、结合该患者情况,分析肱骨近端骨折合并
- 如何使用运动疗法治疗腰椎间盘突出症(LD
- 请简述新一代人工韧带重建ACL有哪些突出
- 简述老年骨质疏松性髋部骨折的手术治疗目的
- 请简要描述骨质疏松症和骨质疏松性骨折患者
- 简述 AS-OP 随访监测指标与频率是什
- 对于腰椎融合内固定术患者术前采用哪种BM
- 如何使用传统中医手法治疗腰椎间盘突出症(
- 请简述显微腰椎间盘切除术的手术步骤?
- 请简述日间髋关节置换手术患者的出院标准以
- 简述后踝骨折的诊断需结合哪些影像学方法?
- 请简要回答桡骨远端骨折手法整复及保守治疗
- 请简述关节挛缩症(AMC)患者的康复治疗
- 脊髓型颈椎病的体征有哪些?
- 脊髓型颈椎病(C0g)的手术治疗指征、时
- 简述胫骨高位截骨术(HTO)的主要适应证
- KOA患者佩戴康复推荐的辅具类型有哪些?
- 请简述EKOA(早期膝关节骨性关节炎)在