试题详情
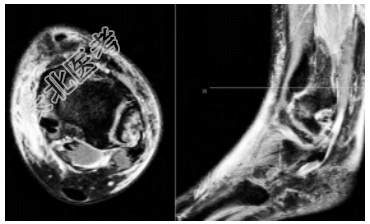
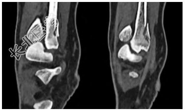
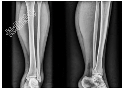
- [材料题] 患者,女,39岁,主诉“外伤致左踝部疼痛、活动受限1h”入院,就诊于日照市中医医院急诊外科。查体:左侧踝关节局部软组织肿胀压痛,后外侧压痛明显,踝关节活动受限,可触及足背动脉搏动,左侧下肢远端血运、感觉、活动未见明显异常。辅助检查:左侧胫腓骨(包括踝关节)X线片显示左侧腓骨远端骨折,骨折块在正位片被腓骨干遮挡(图1)。入院后完善踝关节CT检查,CT横断面显示左侧腓骨远端后侧骨折块,骨折块向胫骨侧移位,骨折线沿冠状面走形,左侧腓骨切迹为Ⅰ型,右侧腓骨切迹为C型(图2);CT矢状面显示左侧腓骨远端后侧骨折块,未累及腓骨干(图3)。CT三维重建显示左侧腓骨远端后侧类椭圆形骨折块,为明确有无下胫腓联合韧带断裂,完善MRI检查,MRI显示下胫腓前、后韧带均完整,下胫腓后韧带与骨折块相连(图4),牵拉骨折块向内侧移位,PDW序列显示下胫腓后韧带存在浅深两层且在部分层面存在融合。以上检查结果可明确诊断下胫腓后韧带腓骨端撕脱骨折。

- 简答题1、在该病例中,患者受伤时的哪些情况,被推测与下胫腓后韧带腓骨端撕脱骨折相关?
关注下方微信公众号,搜题查看答案

- 简答题2、下胫腓联合韧带的组成结构,对下胫腓后韧带腓骨端撕脱骨折发病机制有何影响?
关注下方微信公众号,搜题查看答案

- 简答题3、简述在诊断下胫腓后韧带腓骨端撕脱骨折时,X线、CT、MRI检查各自的作用?
关注下方微信公众号,搜题查看答案

- 简答题4、针对下胫腓后韧带腓骨端撕脱骨折,手术治疗过程中的关键步骤有哪些?
关注下方微信公众号,搜题查看答案

- 简答题5、从该病例来看,下胫腓后韧带腓骨端撕脱骨折术后康复包含哪些要点?
关注下方微信公众号,搜题查看答案

- 简答题6、为什么说下胫腓后韧带腓骨端撕脱骨折容易被误诊或漏诊?
关注下方微信公众号,搜题查看答案

- 简答题7、下胫腓后韧带腓骨端撕脱骨折的预后和预防措施有哪些?
关注下方微信公众号,搜题查看答案

热门试题
- 在肘关节术中X线造影中碘造影剂(ICM)
- 请简述具体的去定植方法及其相关的研究证据
- 请简述EKOA(早期膝关节骨性关节炎)的
- 桡骨远端骨折预后或功能结局评价应选择何种
- 简述 AIS 的主要分型系统及其特点?
- 1、结合该患者情况,分析肱骨近端骨折合并
- 简述脊柱 GCTB 术前和术后如何应用
- 1、患者腰椎间盘脱出物内痛风结晶的发病原
- 请简述日间髋关节置换手术中心的准入制度包
- 简述早期新鲜移位桡骨远端骨折的中西医结合
- 请简述日间髋关节置换手术的术后管理包括哪
- 请简述脊柱内固定手术后抗生素使用及引流管
- 对于合并骨质疏松症的腰椎融合内固定术患者
- 请简述日间髋关节置换手术入院前管理的主要
- 骨质疏松症患者进行跌倒风险的评定推荐的方
- 简述桡骨远端骨折的定义及中西医结合诊疗优
- 骨质疏松症患者进行心理功能的评定推荐的方
- 请简要说明脊柱内镜手术方式在腰椎、胸椎和
- 1、齿状突加冠综合征在病理学层面有哪些典
- 1、结合该患者情况,分析髋关节钙化性沉积