试题详情
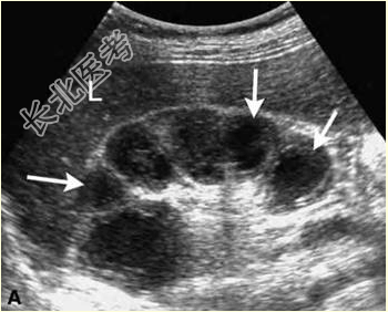
- [材料题] 患者男,40岁,因“尿频、尿急、尿痛及血尿3个月”来诊。尿常规:大量白细胞和少量红细胞。声像图表现见下图。

- 多项选择题1.其超声诊断包括
A、肾积水
B、肾内钙化灶
C、肾感染性病变
D、肾结核
E、多囊肾
F、肾囊肿
G、肾肿瘤
关注下方微信公众号,搜题查看答案

- 多项选择题2.为明确诊断,需要进一步检查
A、红细胞沉降率
B、肾功能
C、结核菌素试验
D、尿结核菌培养
E、肾、输尿管和膀胱(KUB)X线片
F、静脉肾盂造影(IVP)
G、放射性核素扫描
关注下方微信公众号,搜题查看答案

- 多项选择题3.如不及时治疗,该病还可能累及
A、输尿管
B、膀胱
C、对侧肾
D、附睾
E、肝
F、胆囊
G、脊柱
关注下方微信公众号,搜题查看答案

- 多项选择题4.该病在体内的播散的方式有
A、垂直传播
B、粪口传播
C、飞沫传播
D、直接蔓延
E、淋巴感染
F、尿路感染
G、血行播散
关注下方微信公众号,搜题查看答案

热门试题
- 1、根据病史及声像图表现,最合适的诊断为
- 指出主动脉瓣上缩窄的解剖分型A、局限型B
- 类风湿关节炎的超声表现包括A、膝关节髁间
- 1、可能的诊断有A、急性腮腺炎B、慢性腮
- 1、行腹膜后超声检测时需要做的准备有(
- 1、在此阶段出现桑葚胚,关于桑葚胚,不正
- 对于化脓性胆管炎,叙述准确的是A、胆管内
- 组织多普勒成像在心血管疾病中的用途有A、
- 关于声束与血流之间的夹角(θ),叙述正确
- 1、根据病史及辅助检查结果,患者可能出现
- 以下睾丸肿瘤患者血液肿瘤标志物的检测,结
- 葡萄胎声像图表现,下述正确的是A、25%
- 肺栓塞的栓子能够为A、羊水B、脂肪C、空
- 对于肢体缺失和截肢,叙述准确的是A、手、
- 超声诊断脾大的标准为A、在肋缘下超声能显
- 1、根据声像图表现,最可能的诊断是(
- 泪腺良性肿瘤USG表现有哪些 (
- 1、最可能的诊断是( )。A、胰腺脓肿
- 腹膜后超声检查患者可选用的体位包括A、俯
- 1、协助诊断最有意义的是A、颈静脉怒张B