试题详情
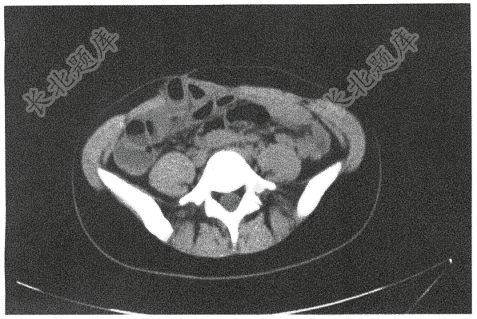
- 单项选择题女性,25岁,肠吻合术后22年,腹痛发热3天就诊。查体:腹平软,右腹部见手术疤痕,右下腹轻压痛,无反跳痛,肠鸣音无亢进。腹部CT所示如图。考虑诊断( )

A、腹壁切口疝
B、腹壁疝
C、腹壁肿块
D、腹壁脓
E、以上均不对
关注下方微信公众号,搜题查看答案

热门试题
- 女性,25岁,肠吻合术后22年,腹痛发热
- 男,67岁。发现右侧阴囊肿大2年。超声检
- 女,49岁,发现右膝疼痛并腘窝肿物16天
- 患者,男,46岁,腰部疼痛、右下肢麻木1
- 请报告箭头所指细胞的名称
- 患者男性,32岁,左膝外伤1小时。查X线
- 患者男性,64岁,身高170cm,体重7
- 男性,51岁( )
- 患者女性,40岁,突发心悸1小时就诊。查
- 男,59岁,以“间断胸闷、心慌1年余”为
- 下列心电图检查最可能的是( )
- 男,30岁,腹痛12小时,剑突下及中腹部
- 男性,16岁,胸痛12小时( )
- 患者女性,48岁,主因发热3天入院。入院
- 男性,25岁,发现血尿三天( )
- 青年男性,23岁,因发现右阴囊肿物2年入
- 男性,50岁。腹痛( )
- 下列心电图检查最可能的是( )
- 请选出正确答案( )
- 请选出正确诊断( )