试题详情
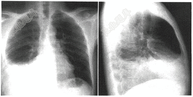
- 单项选择题男性,51岁( )

A、右下肺炎症
B、左下肺炎症
C、右侧胸腔积液
D、左侧胸腔积液
E、右下肺癌
关注下方微信公众号,搜题查看答案

热门试题
- 男,30岁,腹痛12小时,剑突下及中腹部
- 患者女性,60岁,主因间断心悸1周来诊,
- 患者女,35岁,上腹部不适半年余。
- 请选出正确诊断( )
- 男性,16岁,胸痛12小时( )
- 患者男,64岁,因长期胸闷来就诊,根据其
- 男性,65岁,言行异常数天,以下哪项说法
- 患者,女,57岁,主诉“发现左乳肿块1周
- 患者,女性,38岁,乏力、纳差两月。请结
- 请选出正确诊断)
- 患者女,38岁。咳嗽伴间断发热6天。诊断
- 患者女性,75岁,咳嗽、咳痰3个月,加重
- 患者男性,61岁,既往高血压病史,突发昏
- 女,62岁。体检头CT检查如图,最可能的
- 中年男性,因体检发现左上肺病变入院,否认
- 请选出正确诊断( )
- 女性患者,因受凉后高热、咳嗽、咳脓痰5天
- 女,61岁,摔倒后致腰背部疼痛,活动不能
- 请选出正确诊断( )
- 患者男性,55岁,入院常规心电图检查如下