试题详情
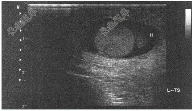
- 单项选择题患者男,35岁。发现阴囊增大半年,无不适感,超声检查如下图,最可能的诊断是( )

A、橡皮肿
B、精索鞘膜积液
C、交通性鞘膜积液
D、睾丸囊肿
E、睾丸鞘膜积液
关注下方微信公众号,搜题查看答案

热门试题
- 下列心电图诊断最可能的是( )
- 患者,女,69岁,因“胡言乱语、记忆力下
- 患者,女性,38岁,乏力、纳差两月。请结
- 请选出正确诊断( )
- 患者男性,71岁。血尿伴尿频尿急2月。盆
- 下列心电图检查最可能的是( )
- 下列心电图检查最可能的是( )
- 患者,男,61岁,体检B超如下图,请进行
- 男,39岁,背部疼痛10年余( )
- 患者女,50岁。因阵发性心悸就诊,既往健
- 中年男性,因淋雨后出现高热,伴有咳嗽,咳
- 中年女性患者,体检胸片发现左下肺结节影,
- 患者男,70岁,因反复咳嗽、咳脓痰20余
- 下列心电图检查最可能的是( )
- 患者男,67岁,根据其心电图写下简要描述
- 女性,55岁,腹痛腹胀伴恶心呕吐1天,大
- 患者女性,40岁,突发心悸1小时就诊。查
- 老年患者,因反复胸闷、气促2年,加重伴痰
- 下列心电图检查最可能的是( )
- 老年女性患者,因“右侧肢体无力5天”为主