试题详情
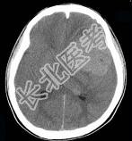
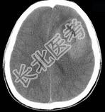
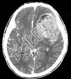
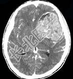
- 单项选择题男,15岁, 进行性头痛1年余,CT检查如图所示, 最可能的诊断是 ( )




A、胶质母细胞瘤
B、淋巴瘤
C、脑血管畸形
D、转移瘤
E、脑膜瘤
关注下方微信公众号,搜题查看答案

热门试题
- 1、该患者的入院诊断初步考虑为左侧中心型
- 肿瘤细胞中物质代谢的异常其主要是由某种物
- 1、患者应该进行的辅助检查是( )2
- 氧化应激引起细胞凋亡的可能机制应除外(
- 1、正确的辅助治疗是2、曲妥珠单抗(赫赛
- X(γ)线、电子束混合照射的物理原理为
- 50岁男性患者患无功能分化好的胰岛细胞瘤
- 男,52岁, 下肢无力伴多饮多尿2 年余
- 加速器特性检测允许精度错误的是 (
- 扶正培本法治疗肿瘤最常用的药物有(
- 不同类型X线机有不同的冷却方式,下列哪种
- 早期口腔癌治疗可取得很好的疗效,但得不到
- 以下哪一项不属于钴-60源强选购应考虑的
- 现阶段惟一可能治愈胃癌的方法是A、放射治
- 男性患者,50岁, 胸片与CT见周边有一
- 男,54岁, 患者1年前行结肠癌手术,癌
- 中段肝外胆管指的是A、十二指肠上缘至Va
- 鼻咽癌根治性放射治疗最常见的并发症为A、
- 女性患者,50岁, 查体发现前上纵隔肿瘤
- 在早期喉癌放疗中,6MV X射线建成效应