试题详情
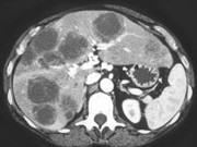
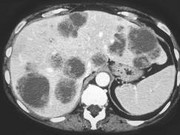
- 单项选择题男,54岁, 患者1年前行结肠癌手术,癌胚抗原增高, 影像检查如图,最可能的诊断为 ( )


A、肝淋巴瘤
B、多发结节性肝癌
C、多发性肝囊肿
D、多发性肝脓肿
E、结肠癌肝转移
关注下方微信公众号,搜题查看答案

热门试题
- 男,50岁, 嗜酒吸烟,近3周来可出现吞
- 男性患者,59岁, 间断肉眼血尿1个月余
- 临床中常应用于肺癌的肿瘤标志物有(
- 非典型增生指的是A、细胞异型增生,未累及
- 1、最可能的诊断为2、最方便的进一步明确
- 常用于治疗肺癌胸水的包括效药物有 (
- 1、HD最常见的自发症状为2、为明确该患
- 国际上常用的骨骼肌肉系统肿瘤的分期方法为
- 手术为主要治疗手段占全部肿瘤的比例为
- 胚系突变在人群中的频率A、>1%B
- 1、为查明肿物性质,首选的检查是2、为查
- 1、其皮肤癌的诱因应首先考虑2、患者没有
- 女,45岁, 右眼视力下降8个月,右颜面
- 恶性胸膜间皮瘤治疗中应用最多的方法为A、
- 伴有钙化的肾肿瘤中最常见的为 (
- 以下哪一条当行阴茎癌姑息放射治疗 (
- 垂体腺瘤X(γ)刀治疗的适应证为 (
- 关于非精原细胞瘤表述正确的是 (
- 若某肿瘤能检测到CD20,则该肿瘤可能是
- 阴茎癌姑息放射治疗剂量哪一项正确 (