试题详情
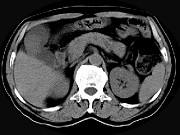
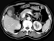
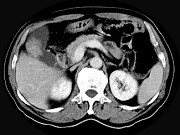
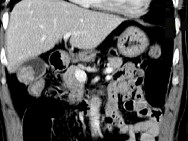
- 单项选择题男,45岁, 右季肋区疼痛,Murphy征阳性, B超提示胆囊息肉,CT所见如图, 最可能的诊断为 ( )




A、胆囊癌
B、慢性胆囊炎
C、胆囊息肉
D、胆囊腺肌增生症
E、胆囊转移癌
关注下方微信公众号,搜题查看答案

热门试题
- 乳癌脑转移时,常用的放射剂量为 (
- 男,35岁, 病人低热、消瘦、乏力,左右
- FDA批准用于转移性肾癌的药物为A、IL
- 近代肿瘤化学治疗开始的年代是 (
- 1、为明确诊断应立即进行的检查项目包括2
- Ⅲ期黑色素瘤的治疗原则为A、化学治疗和免
- 根据喉癌TNM分期,肿瘤如果侵及甲状软骨
- 1、该患者诊断可能是( ) (内
- 中、晚期下咽癌(T3-4N
- 肿瘤外科手术后远处转移的主要原因应是(
- 1、针对该患者阴茎病灶最适合的治疗是(
- 现阶段Ⅰ、Ⅱ期侵袭性非霍奇金淋巴瘤和弥漫
- 甲状腺癌手术常见的并发症包括A、出血致呼
- 关于患病率和发病率,叙述不正确的是A、患
- 男性,66岁, 尿频、尿急4年余、一直以
- 常见的三大类卵巢肿瘤是 ( )A
- 在恶性肿瘤患者中,在病程的不同时期需要作
- 1、首选最佳治疗为( )2、(提示
- 位于股骨远端的Ⅱb期骨肉瘤,手术时于反应
- 肿瘤侵袭的标志是A、肿瘤细胞从瘤母体脱落