试题详情
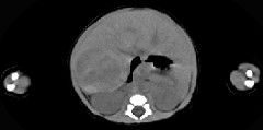
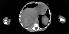
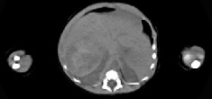
- 单项选择题男,刚刚出生5天, 上腹部膨隆,CT所见如图, 最可能的诊断为 ( )




A、肝转移瘤
B、原发性肝癌
C、肝脓肿
D、肝血管瘤
E、肝母细胞瘤
关注下方微信公众号,搜题查看答案

热门试题
- 男,50岁, 黄疸进行性加重、腹部胀痛不
- 1、该患者最可能的临床诊断是( )2
- 对于原发耐药的难治性霍奇金病应采取的治疗
- 电镜下诊断血管肉瘤的主要依据为A、神经内
- 鼻咽癌放疗原发灶根治剂量通常应给予A、5
- 做X线全身照射的技术条件,以下哪一项不正
- 以下哪项检查对发现胆囊占位性病变有价值
- 女,64岁, 发现双甲状腺肿大1月余,C
- 鼻咽癌最主要的颅内转移途径应为 (
- 患者男性,60岁。间断肉眼血尿2个月余,
- 卵巢交界性上皮性肿瘤中常见类型包括A、交
- 加速器,钴-60机的机械等中心为 (
- 鼻咽癌淋巴结转移的第一站是A、颈后三角淋
- 电镜下诊断平滑肌肉瘤的主要依据为A、细胞
- 肉瘤的主要形态特点为A、异型性明显,有核
- 晚期恶性黑色素瘤的化疗主要用药为A、阿霉
- 以下关于交界性肿瘤的描述不正确的是A、交
- 颈段食管癌常见转移部位为 ( )
- 子宫内膜癌诊断最主要、最具有力的检查是A
- 关于检验效能,叙述不正确的是A、一般情况